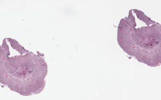
Anal canal, Malignant melanoma, H&E stain

Details
Disease Category
Gender
Age
56 years
Organ System/Discipline
Diagnosis
Malignant melanoma
Clinical History

Anal lump present for past few months.

Case Discussion

Anal melanoma is a rare and aggressive malignancy accounting for less than 1% of all colorectal and anal malignancies. This location of melanoma is the third most common, after cutaneous and ocular melanoma, however it is the most common site for primary melanoma of the gastrointestinal tract.

This patient presented with an anal lump which would prolapse during bowel movements. It was initially thought that this was a hemorrhoid and was therefore treated symptomatically. When her symptoms did not improve, she underwent a colonoscopy which showed a 3 cm rectal polyp. The biopsy was called malignant melanoma, measuring > 2 cm in thickness and having > 20 mitoses per square mm.

She was subsequently referred for further work up and treatment and underwent an additional biopsy (this case) by the surgeon who saw residual disease during a colonoscopy. The biopsy shows malignant infiltrative epithelioid cells.

This case highlights the importance of keeping melanoma in the differential diagnosis of a poorly differentiated, aggressive looking tumour.

This slide shows H&E stain. See Related Content for Pankeratin, S100, Melan-A, and HMB45 stains.

See Related Content for references:

1) Khan, M., et al. Case Reports in Oncology 2014;7(1): 164-170
2) Singer, M., Mutch, MG. Clinics in Colon and Rectal Surgery 2006;19(2): 78-87

Image Contributors
Hodgson, A., Wong, J.

Lists containing this slide

Cite

Hodgson, A., Wong, J. Anal canal, Malignant melanoma, H&E stain. Digital Laboratory Medicine Library, Dept of Laboratory Medicine & Pathobiology, University of Toronto. Published . Accessed December 17, 2025. https://dev.dlml.cflabs.ca/image/anal-canal-malignant-melanoma-he-stain-lmp33840