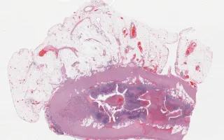
Appendix, goblet-cell carcinoid, H&E

Details
Disease Category
Gender
Age
44 years
Organ System/Discipline
Diagnosis
Goblet-cell carcinoid of the appendix
Clinical History

Patient presented with acute appendicitis and perforation. An appendectomy was performed (this specimen), and the patient was followed. A subsequent recurrence of disease occurred (see Related Content).

Case Discussion

Well-differentiated neuroendocrine tumours (“carcinoids”) of the appendix are usually found incidentally at appendectomy. When large or not confined to the tip, they can cause obstructive symptoms and/or appendicitis. Although uncommon, they account for a majority of appendiceal tumours. They are considered tumours of uncertain malignant potential. Goblet-cell carcinoid is a variant that shows both glandular and endocrine differentiation, with cells resembling normal intestinal goblet cells. Goblet-cell carcinoid is more aggressive than conventional carcinoids.

This appendiceal tumour was also stained for EMA (LMP99001) and Alcian Blue (LMP63103), highlighting the presence of epithelial differentiation and mucin production, respectively - see Related Content

Four years later, the patient developed recurrent disease in which a malignant component was identified. A right hemicolectomy was performed (Alcian Blue: LMP84148, H&E: LMP24767 and LMP26566) - see Related Content.

Image Contributors
Mrkonjic, M., Chang, M.

Lists containing this slide

Cite

Mrkonjic, M., Chang, M. Appendix, goblet-cell carcinoid, H&E. Digital Laboratory Medicine Library, Dept of Laboratory Medicine & Pathobiology, University of Toronto. Published . Accessed December 17, 2025. https://dev.dlml.cflabs.ca/image/appendix-goblet-cell-carcinoid-he-lmp28939