Details
23 weeks gestation, male fetus. Autopsy.
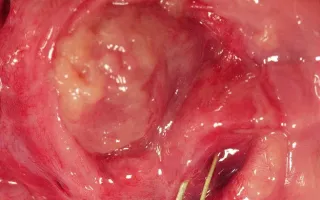
This slide shows a specimen photograph of the bladder.
OEIS complex is the most severe form of a spectrum of urogenital and abdominal abnormalities. It is characterized by Omphalocele, Exstrophy of the Bladder, Imperforate anus, and Spinal defects.
The complex has a multifactorial etiology, with both genetic and environmental factors, however all clinical characteristics of OEIS possibly result from a single defect in dorsal-ventral patterning during early embryogenesis.
Large omphalocele with marked scoliosis can be observed. Note the omphalocele sac has ruptured artefactually, exposing the abdominal contents. The subject demonstrates a dorsal terminal myelocystocele. The sacrum demonstrates spina bidifa. The spinal cord extends down into the sacrum and herniates, with a low lying conus and myeloschesis. The dosal spinal cord is reduced to a thin walled sac, forming the dorsal lining of the myelocystocele. The sacrum itself is abnormal, asymmetric, and hypoplastic.
There is exstrophy of the bladder; the lining of the bladder is continuous with the external abdominal wall. The ureters and cecum communicate with a common “cloaca”. The colon is blind-ended with aplasia of the rectum and anus. The subject has male gonads and karyotype with aplastic external genitalia. The thoracic cage is markedly narrow, with extrusion of its contents into the abdomen. The right ventricle of the heart is stretched caudally. The subject demonstrates asymmetric talipes equinovarus.
See related content for external view of the front and back, and specimen photographs of other internal structures.