Details
61-year-old man presents with progressive left-sided weakness. Neuroimaging shows a right frontal ring-enhancing mass.
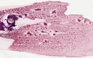
Epithelioid glioblastoma is a recognized variant of glioblastoma that occurs mainly in children and young adults and has an especially poor prognosis. Microscopically, they are characterized by a dominant population of closely packed epithelioid cells, along with the other features of mitotic activity, microvascular proliferation, and necrosis found in typical glioblastomas. Tumour cells displaying cytoplasmic processes, indicative of their glial nature, are helpful if present - this slide. E-GBM is immunoreactive for S100. Unlike typical GBMs, GFAP is often patchy or even absent. (However, in this case it was strongly positive - see Related Content). Approximately 50% of E-GBMs contain a BRAF V600E mutation.