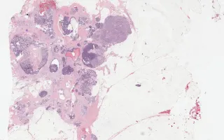
Breast, Adenoid cystic carcinoma, H&E stain

Details
Disease Category
Gender
Age
70 years
Organ System/Discipline
Diagnosis
Adenoid cystic carcinoma
Clinical History

Breast mass.

Case Discussion

Adenoid cystic carcinoma is a rare type of breast cancer. This tumour is morphologically identical to its counterpart in the salivary gland. Classically, this tumour has a good prognosis even though it is usually triple negative with regards to receptor status.

The differential diagnosis includes collagenous spherulosis, cribriform DCIS, and cribriform carcinoma. Adenoid cystic carcinoma, in contrast to these other entities, is characterized by a dual-cell population: –a ductal-luminal and myoepithelial-basaloid. The ductal component forms true lumina, while the myoepithelial component forms characteristic cylinders with eosinophilic basement membrane-like material. The overall architecture can be cribriform, trabecular, or solid. A CD117 stain highlights the dual cell population; however, CD117 can also be positive in other forms of breast carcinoma.

This slide shows H&E stain, see Related Content for CD117 stain.

Image Contributors
Hodgson, A., Lu, F.

Lists containing this slide

Cite

Hodgson, A., Lu, F. Breast, Adenoid cystic carcinoma, H&E stain. Digital Laboratory Medicine Library, Dept of Laboratory Medicine & Pathobiology, University of Toronto. Published . Accessed December 17, 2025. https://dev.dlml.cflabs.ca/image/breast-adenoid-cystic-carcinoma-he-stain-lmp19773