Case Discussion
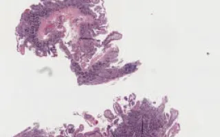
Giardia species (most commonly G. lamblia) are protozoal microorganisms found in water and can cause watery and foul smelling diarrhea. In addition to diarrhea, abdominal pain with abdominal fullness with flatulence is common. Giardia produces a physical barrier to absorption of luminal contents by coating the small bowel lumen. The histologic findings are of mild to moderate villous blunting and increased inflammatory cells in the lamina propria. Sometimes, the binucleate trophozoite forms of the organisms can be seen near the luminal surface.
This patient also had Helicobacter pylori gastritis, see Related Content.