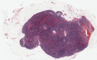
Lymph node, In situ follicular neoplasm, H&E stain

Details
Disease Category
Gender
Age
79 years
Diagnosis
In situ follicular neoplam
Clinical History

Sentinel lymph node excised during lumpectomy for invasive breast carcinoma.

Case Discussion

In situ follicular neoplasm, formerly known as follicular lymphoma in situ (FLIS), is defined as the presence of BCL2+/CD10+ neoplastic follicles in a background of reactive germinal centers. The neoplastic follicles are predominately composed of monoclonal centrocytes, which carry the t(14;18) IGH/BCL2 translocation. Given their indolent nature, the name "intrafollicular neoplasia" has been proposed as an alternative terminology. The differential diagnosis of FLIS includes partial involvement of the lymph node by FL (PFL). Studies have shown that only 5% of the patients with FLIS will develop or have concurrent FL; on the other hand 53% of the PFL will progress to FL if left untreated.

Refer to the paper by Jegalian et al for the criteria used to distinguish FLIS from PFL (link in Related Content section).

This slide shows H&E stain. See Related Content for CD10, BCL2, and BCL6 stains.

Image Contributors
Starova, B., Ghorab, Z.

Cite

Starova, B., Ghorab, Z. Lymph node, In situ follicular neoplasm, H&E stain. Digital Laboratory Medicine Library, Dept of Laboratory Medicine & Pathobiology, University of Toronto. Published . Accessed December 17, 2025. https://dev.dlml.cflabs.ca/image/lymph-node-situ-follicular-neoplasm-he-stain-lmp91065