Details
50 year-old female presenting with nasal mass.
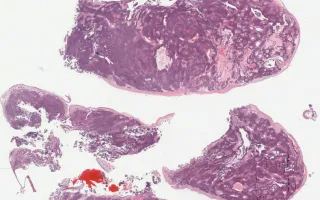
Olfactory neuroblastoma, or esthesioneuroblastoma, is an important entity to be considered in the differential diagnosis of lesions of the nasal cavity. This is a malignant neoplasm of neuroectodermal origin, typically arising from the upper part of the nasal cavity. There is a bimodal age distribution, with the lesion typically affecting those between 10-20 years and 50-60 years. Clinically, patients present with obstructive symptoms, headaches, epistaxis, and nasal pain.
Histologically, it is characterized as a lesion consisting of uniform cells with a lobular pattern of growth. Pseudorosettes (Homer Wright) and true rosettes (Flexner-Wintersteiner) can be identified. By immunohistochemistry, these lesions show positive staining for neuroendocrine markers, and S100 and GFAP can be used to highlight sustentacular cells which line the lobules. Histologic grade is determined by the Hyams criteria, which include architecture, mitotic activity, nuclear pleomorphism, presence of a fibrillary matrix, type of rosettes, and presence of necrosis - these factors are then used to assign a grade of 1-4. Given the presence of scattered mitoses and nuclear atypia in this case, it was assigned a grade of 2/4. By immunohistochemistry, this case demonstrated positive staining for synaptophysin and other neuroendocrine markers, as well as S100 staining in the sustentacular cells.
This slide shows H&E stain. See Related Content for synaptophysin and S100 stains.