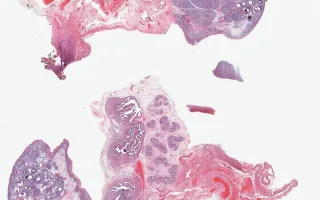
Ovary, Gonadoblastoma, H&E stain

Details
Disease Category
Gender
Age
6 years
Organ System/Discipline
Diagnosis
Gonadoblastoma
Clinical History

This 6 year old girl was found to have XX/XY mosaicism during a postnatal workup as a follow up to a triple screen which suggested trisomy 18. She had bilateral salpingo-oophorectomy performed as prophylaxis for a potential malignancy.

Case Discussion

Gonadoblastoma is a tumour of immature gonadal sex cord and germ cells, which is considered a precursor lesion of malignant germ cell neoplasia. It is almost always associated with intersex-associated gonadal abnormalities, for example when Y chromosome material is present within an ovary. Approximately 80% of patients are phenotypically female (45X/46XY, 46XX/46XY). It is typically bilateral in the setting of dysgenetic gonads. Gonadectomy is the treatment of choice with excellent prognosis.

The sections demonstrate a mix of male and female gonadal structures (seminiferous tubule formation, epididymis and fallopian tube). There is ovarian cortex-type stroma and a few scattered gland-like structures. No primordial or primary follicles are present. The seminiferous tubule-like structures contain a small amount of Leydig cells and are lined by Sertoli cells (inhibin positive) with some immature germ cells (Oct3/4 positive). There are some well-defined, basement-membrane lined, round nests of large, pale seminoma-like cells admixed with small dark, angular, sex cord cells. Oct3/4 stains most of the germ cells.

This slide shows H&E stain. See Related Content for inhibin and Oct3/4 stains.

Image Contributors
Mrkonjic, M., Chami, R.

Lists containing this slide

Cite

Mrkonjic, M., Chami, R. Ovary, Gonadoblastoma, H&E stain. Digital Laboratory Medicine Library, Dept of Laboratory Medicine & Pathobiology, University of Toronto. Published . Accessed December 17, 2025. https://dev.dlml.cflabs.ca/image/ovary-gonadoblastoma-he-stain-lmp52166