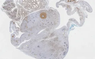
Soft tissue, embryonal rhabdomyosarcoma, SMA stain

Details
Disease Category
Gender
Age
18 years
Organ System/Discipline
Diagnosis
embryonal rhabdomyosarcoma, anaplastic variant
Clinical History

An 18 year-old male presents with an irregular paratesticular mass.

Case Discussion

Rhabdomyosarcoma is a malignant tumour of skeletal muscle differentiation of which embryonal is the most common type, comprising 60% of cases. The tumor is most common in children under the age of 10 and is most frequently seen in the head and neck region or genitourinary tract. A wide range of differentiation may be seen. Many tumors have a primitive ‘small round blue cell’ appearance, with alternating areas of myxoid hypocellularity, while others have a predominant spindle cell morphology (seen here) with more easily identifiable rhabdomyoblasts.

Sections demonstrate a malignant, large spindle cell neoplasm centred on the spermatic cord with fascicular
architecture and moderate-to-marked pleomorphism (anaplasia) and occasionally multiple nucleoli. These features signify the anaplastic variant in this case, which is associated with a worse prognosis. Scattered elongated rhabdomyoblasts with cytoplasmic cross-striations and globoid rhabdomyoblasts are identified. In many cells the cytoplasm appears vacuolated. Mitotic figures are easily identified (13/10 HPF), including atypical figures. Necrosis is focally present.

By immunohistochemistry the tumor cells are positive for SMA, desmin, and myogenin (MYF4), confirming skeletal muscle differentiation. Molecular testing failed to detect the two most common translocations associated with alveolar rhabdomyosarcoma (PAX3-FOXO1; PAX7-FOXO1), essentially excluding this subtype from the differential diagnosis.

This slide shows SMA stain. See Related Content for H&E, desmin, and myogenin stains.

Image Contributors
Card, S., Dickson, B.

Cite

Card, S., Dickson, B. Soft tissue, embryonal rhabdomyosarcoma, SMA stain. Digital Laboratory Medicine Library, Dept of Laboratory Medicine & Pathobiology, University of Toronto. Published . Accessed December 17, 2025. https://dev.dlml.cflabs.ca/image/soft-tissue-embryonal-rhabdomyosarcoma-sma-stain-lmp50362