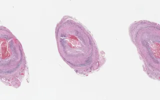
Temporal artery, Giant cell arteritis, H&E stain

Details
Gender
Age
81 years
Organ System/Discipline
Diagnosis
Giant cell arteritis
Clinical History

Biopsy of an artery, 81 year old female.

Case Discussion

Giant cell arteritis or temporal arteritis is a granulomatous vasculitis of large blood vessels, with particular predilection for branches of the carotid artery, including the temporal artery. This is a disease of older adults over the age of 50 years, with the average age range in the 70’s to 80’s.

Giant cell arteritis is a patchy process, thus multiple segments of a vessel may need to be examined for diagnostic purposes. Histologic findings include segmental disruption of the internal elastic lamina and a transmural (involving tunica intima, media and adventitia) chronic inflammatory infiltrate, consisting mainly of lymphocytes and histiocytes (granulomatous). Giant cells may also be seen although they are not required for a diagnosis. The tunica media often shows smooth muscle loss, disorganization, and fibrosis. Ancillary special stains may be used to highlight the elastic lamina disruption (elastic stain) and the medial fibrosis (connective tissue stain, MOVAT).

This slide shows H&E stain. See related content for trichrome stain.

Image Contributors
Papp, S., Mete, O.

Cite

Papp, S., Mete, O. Temporal artery, Giant cell arteritis, H&E stain. Digital Laboratory Medicine Library, Dept of Laboratory Medicine & Pathobiology, University of Toronto. Published . Accessed December 17, 2025. https://dev.dlml.cflabs.ca/image/temporal-artery-giant-cell-arteritis-he-stain-lmp58900