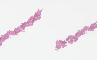
Bone Marrow, Gamma Heavy Chain Disease, H&E stain

Details
Disease Category
Gender
Age
60 years
Diagnosis
Gamma Heavy Chain Disease
Clinical History

60 year-old male with anemia.

Complete Blood Count (CBC):

Hemoglobin: 97 g/dL
WBC: 11.2 x 10e9/L
Platelets: 178 x 10e9L
Mean Corpuscle Volume (MCV): 97.2 fL

Flow cytometry (see related content) shows a major population of B-cells positive for CD19, CD20, FMC7 and partial CD79b and negative for CD5, CD10, CD23, kappa and lambda. Plasma cells expressing CD38 and CD138 are <1%.

Case Discussion

Heavy chain diseases (HCD) are B-cell neoplasms that only produce monoclonal heavy chain without associated light chains. There are three types involving the three main immunoglobulin classes: gamma, alpha, and mu.

Gamma heavy chain disease presents like lymphoplasmacytic lymphoma in the bone marrow but lacks light chain. The slides demonstrate the presence of a neoplastic plasma cell population. Monoclonal IgG is seen by immunohistochemistry. Clinically, immunofixation will demonstrate IgG without light chain in the blood and/or urine.

This slide shows bone marrow biopsy, H&E stain. See related content for peripheral blood, bone marrow aspirate, and IHC of bone marrow biopsies.

Image Contributors
Musani, R.

Lists containing this slide

Cite

Musani, R. Bone Marrow, Gamma Heavy Chain Disease, H&E stain. Digital Laboratory Medicine Library, Dept of Laboratory Medicine & Pathobiology, University of Toronto. Published . Accessed December 17, 2025. https://dev.dlml.cflabs.ca/image/bone-marrow-gamma-heavy-chain-disease-he-stain-lmp46067