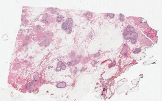
Breast, Ductal carcinoma in situ

Details
Disease Category
Gender
Age
42 years
Organ System/Discipline
Diagnosis
Ductal carcinoma in situ
Clinical History

42 year-old female, right-breast lumpectomy for ductal carcinoma in-situ (DCIS). The slide is provided for comparison with the post-chemotherapy re-excision specimen (see Related Content).

Case Discussion

This slide shows the lumpectomy for ductal carcinoma in-situ (DCIS) and is provided for comparison with the post-chemotherapy re-excision (see Related Content).

Chemotherapy related changes can be detected in neoplastic as well as non-neoplastic tissue. Following chemotherapy, there is some evidence that suggests that in situ carcinoma is relatively more resistant to chemotherapy compared to invasive carcinoma.

Image Contributors
Hodgson, A., Lu, F.

Lists containing this slide

Cite

Hodgson, A., Lu, F. Breast, Ductal carcinoma in situ. Digital Laboratory Medicine Library, Dept of Laboratory Medicine & Pathobiology, University of Toronto. Published . Accessed December 17, 2025. https://dev.dlml.cflabs.ca/image/breast-ductal-carcinoma-situ-lmp63693