Details
The mother is 33 years old. This is her first pregnancy. Maternal screening demonstrated an elevated serum alpha fetoprotein. Anatomy ultrasound demonstrated horseshoe kidneys, a small omphalocele and a diaphragmatic hernia. Ultrasound here at 19 weeks gestational age demonstrated the stomach in the left thorax with rightward displacement of the heart. The pregnancy was interrupted at 21 weeks gestational age.
Simpson-Golabi-Behmel syndrome (SGBS) is a rare X-linked recessive disorder. It is characterized by pre- and postnatal overgrowth, craniofacial anomalies, skeletal and hand anomalies, macroglossia, genitourinary abnormalities and supernumerary nipples. Patients with SGBS also exhibit a predisposition to develop embryonal tumours, especially Wilms’ tumour. The main gene identified to cause SGBS is Glypican 3 (GPC3) and is located on the X chromosome on Xq26.
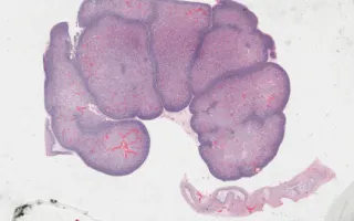
In this syndrome, Wilms’ tumour (nephroblastoma) is common. However, in this case, the finding is nephroblastomatosis, a proliferation of the blastemal component which is considered a precursor to Wilm’s tumour.
The overall findings in this fetus included increased growth parameters, congenital diaphragmatic hernia, nephroblastomatosis, and ovotestes.
This slide shows H&E stain of kidney. See Related Content section for other stains, ovotestis slides, and specimen photograph:
Kidney H&E stain: LMP91472
Ovotetis H&E stain: LMP37423
Ovotestis IHC androgen receptor: LMP92175
Ovotestis IHC calretinin: LMP88586
Ovotestis IHC inhibin: LMP37149
Ovotestis IHC placental alkaline phosphatase: LMP38677
Specimen Photograph: LMP10920