Skip to main content
Quick Links
Temerty Faculty of Medicine
Main navigation
ACORN/ROSI
DLM Library
Quercus
U of T Main
Search
Utility navigation
How to get help
DLML Menu
Home
Search
DLML Menu Secondary
Contributers
Help
Login
Lock Sidebar Open
Disable Hover
Kidney
Kidney, Multilocular cystic renal neoplasm of low malignant potential
Kidney, Mucinous tubular and spindle cell carcinoma
Kidney, Glomerular basement membrane with structural abnormalities
Kidney, Glomerular basement membrane with structural abnormalities
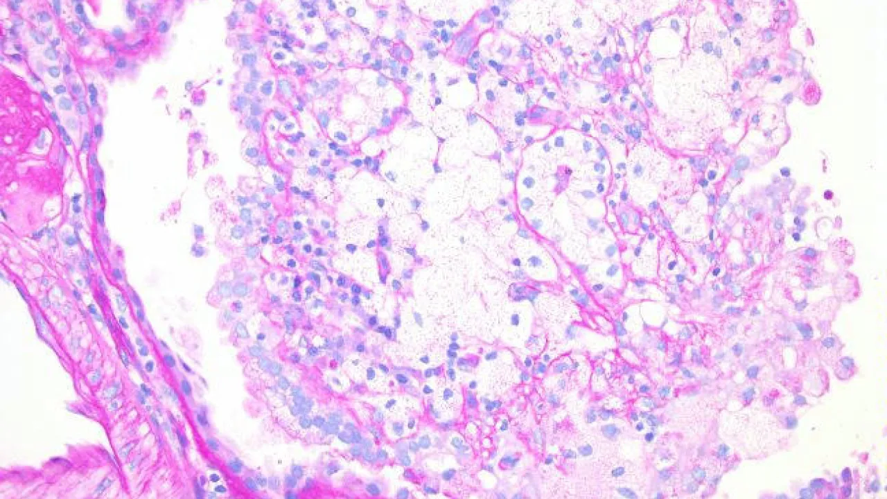
Kidney, Xanthogranulomatous pyelonephritis, PAS stain
Kidney, Xanthogranulomatous pyelonephritis, PAS stain
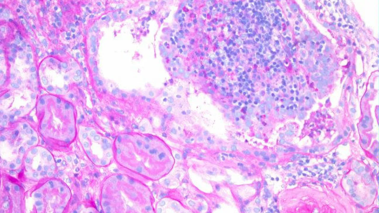
Kidney, Xanthogranulomatous pyelonephritis, Trichrome stain
Kidney, Xanthogranulomatous pyelonephritis, Trichrome stain
Kidney, Metanephric adenoma
Kidney, Papillary renal cell carcinoma
Kidney, Oncocytoma
Kidney, Wilms tumour
Kidney, Crescentic glomerulonephritis, PAS stain
Kidney, Clear cell papillary renal cell carcinoma, AMACR stain
Kidney, Clear cell papillary renal cell carcinoma, CD10 stain
Kidney, Clear cell papillary renal cell carcinoma, HMWK stain
Kidney, Clear cell papillary renal cell carcinoma, CK7 stain
Kidney, Clear cell papillary renal cell carcinoma, CA9 stain
Kidney, Clear cell papillary renal cell carcinoma, H&E stain
Kidney, Papillary renal cell carcinoma
Kidney, Cytomegalovirus, IHC stain
Kidney, Cytomegalovirus, H&E stain
Kidney, High grade urothelial carcinoma of renal pelvis
Kidney, High grade urothelial carcinoma of renal pelvis
Kidney, Clear cell renal cell carcinoma
Kidney, Simpson-Golabi-Behmel Syndrome
Kidney, Simpson-Golabi-Behmel Syndrome
Kidney, Loop of Henle
Kidney, Convoluted Tubules
Kidney, Renal Corpuscle
Kidney, Loop of Henle
Kidney, Epithelium
Kidney, Collecting Tubules and Ducts
Kidney, Convoluted Tubules
Kidney, Renal Corpuscle
Kidney, General Features
Subscribe to Kidney