Skip to main content
Quick Links
Temerty Faculty of Medicine
Main navigation
ACORN/ROSI
DLM Library
Quercus
U of T Main
Search
Utility navigation
How to get help
DLML Menu
Home
Search
DLML Menu Secondary
Contributers
Help
Login
Lock Sidebar Open
Disable Hover
Pancreas
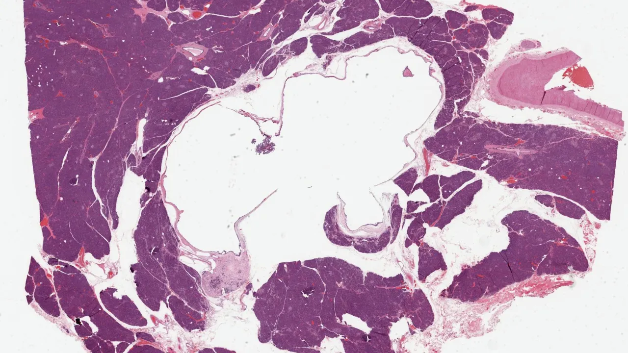
Pancreas, Intraductal papillary mucinous neoplasm (IPMN, non-invasive)
Pancreas, Solid pseudopapillary tumour, B catenin stain
Pancreas, Solid pseudopapillary tumour, CD10 stain
Pancreas, Solid pseudopapillary tumour, H&E stain
Pancreas, Solid pseudopapillary tumour, PAS stain
Pancreas, Solid pseudopapillary tumor
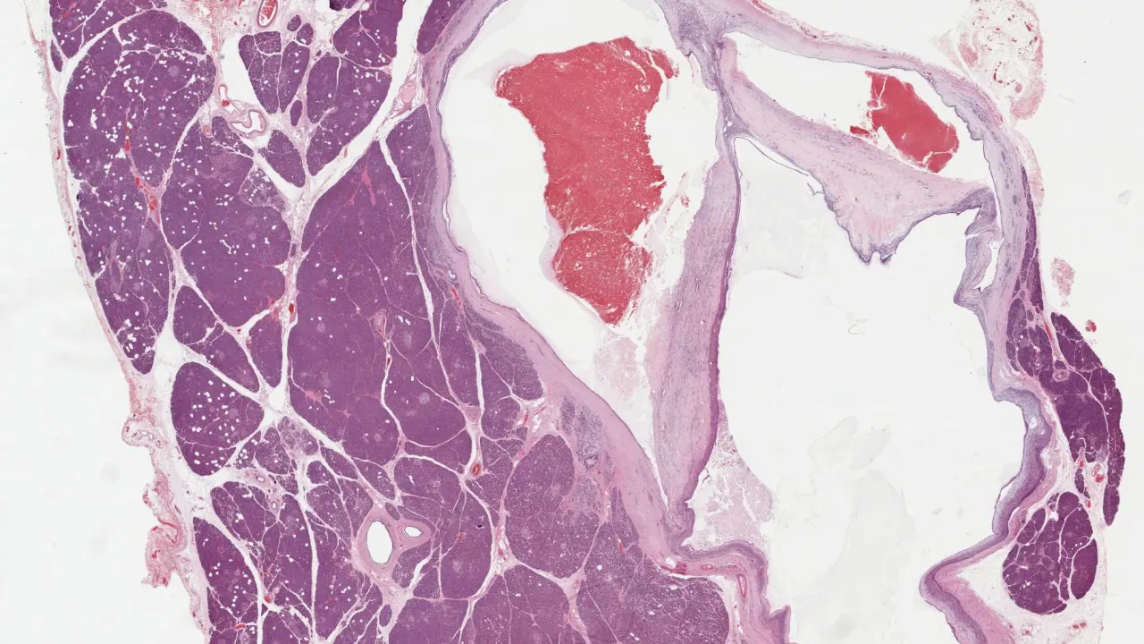
Pancreas, Pancreatic serous cystadenoma, macrocystic variant
Pancreas, Pancreatic neuroendocrine tumour, low grade, Glucagon stain
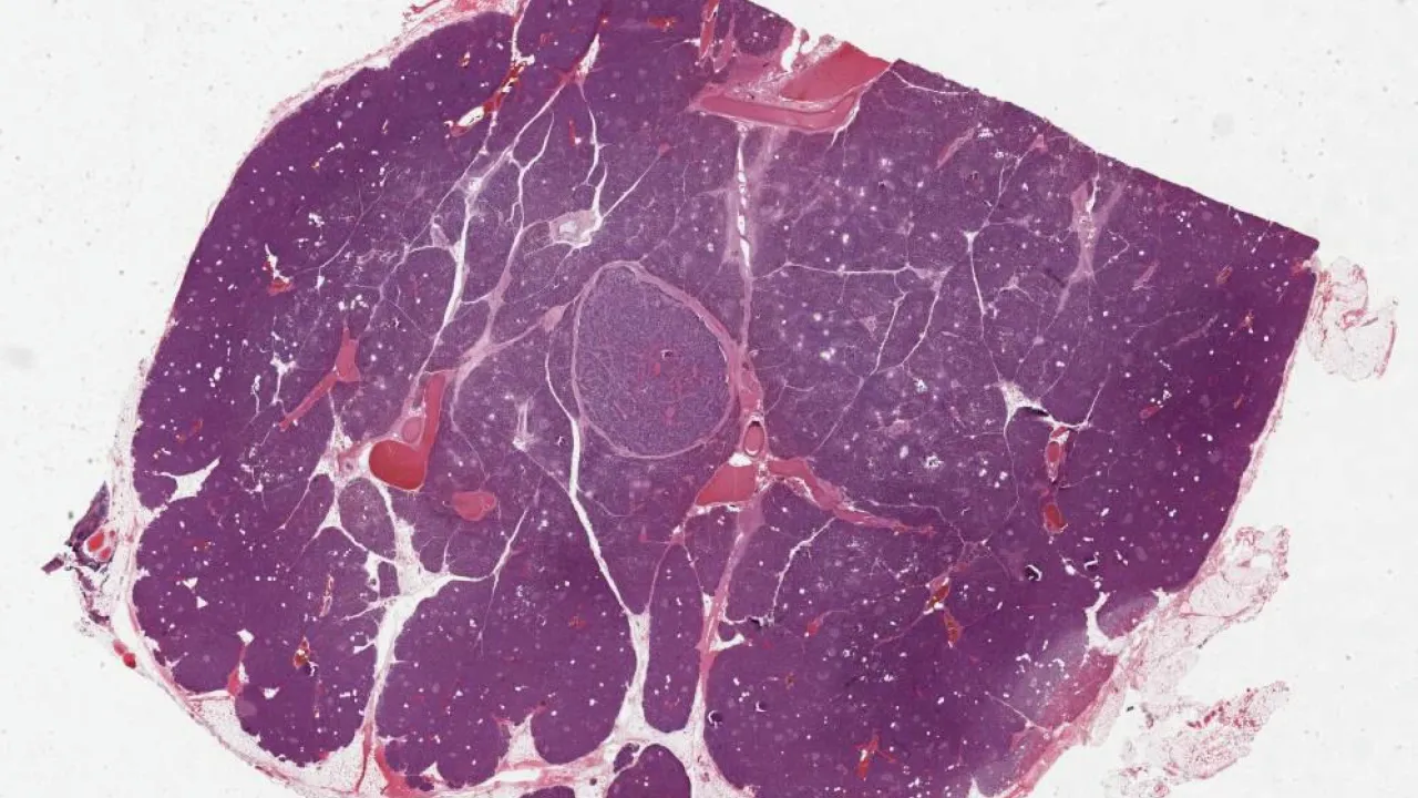
Pancreas, Pancreatic neuroendocrine tumour, low grade, H&E stain
Pancreas, Mucinous cystic neoplasm, low grade
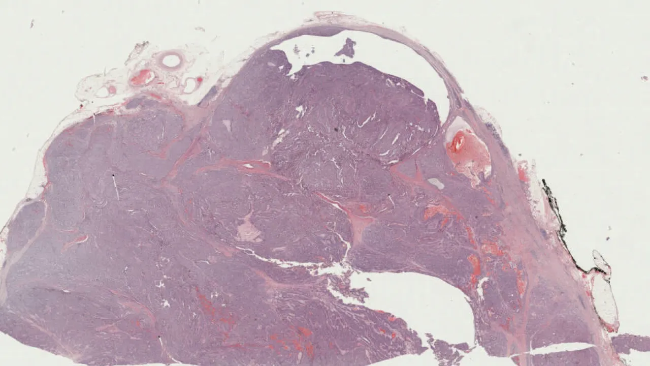
Pancreas, Ductal adenocarcinoma
Pancreas, Solid pseudopapillary tumor
Pancreas, Intraductal papillary mucinous neoplasm
Endocrine Pancreas
Stratified Columnar Epithelium
Endocrine Pancreas
Exocrine Pancreas
Pancreas, General Features
Subscribe to Pancreas