Skip to main content
Quick Links
Temerty Faculty of Medicine
Main navigation
ACORN/ROSI
DLM Library
Quercus
U of T Main
Search
Utility navigation
How to get help
DLML Menu
Home
Search
DLML Menu Secondary
Contributers
Help
Login
Lock Sidebar Open
Disable Hover
I'm looking for
Disease Category
Neoplasia (749)
Normal State (130)
Cellular Responses to Stress and Toxic Insults: Adaptation, Injury, and Death (91)
Infectious Diseases (69)
Diseases of Infancy and Childhood (43)
Acute and Chronic Inflammation (43)
Genetic Disorders (42)
Diseases of the Immune System (34)
Tissue Renewal, Regeneration, and Repair (9)
Hemodynamic Disorders, Thromboembolic Disease and Shock (2)
Environmental and Nutritional Diseases (1)
Gender
- Any -
Female (651)
Male (426)
Unknown (13)
Intersex (8)
Organ System/Discipline
White Blood Cells, Lymph Nodes, Spleen, and Thymus (219)
Skin (154)
Female Genital Tract (151)
Breast (113)
Gastrointestinal Tract (113)
Central Nervous System (97)
Bones, Joints, and Soft-Tissue Tumours (86)
Lower Urinary Tract and Male Genital System (42)
Head and Neck (41)
Liver and Biliary Tract (39)
Kidney (36)
Lung (28)
Peripheral Nerve and Skeletal Muscle (21)
Blood Vessels (18)
Pancreas (18)
Endocrine System (17)
Heart (14)
Red Blood Cells and Bleeding Disorders (5)
Eye (4)
Search
Disease Category
Neoplasia (749)
Normal State (130)
Cellular Responses to Stress and Toxic Insults: Adaptation, Injury, and Death (91)
Infectious Diseases (69)
Diseases of Infancy and Childhood (43)
Acute and Chronic Inflammation (43)
Genetic Disorders (42)
Diseases of the Immune System (34)
Tissue Renewal, Regeneration, and Repair (9)
Hemodynamic Disorders, Thromboembolic Disease and Shock (2)
Environmental and Nutritional Diseases (1)
Gender
- Any -
Female (651)
Male (426)
Unknown (13)
Intersex (8)
Organ System/Discipline
White Blood Cells, Lymph Nodes, Spleen, and Thymus (219)
Skin (154)
Female Genital Tract (151)
Breast (113)
Gastrointestinal Tract (113)
Central Nervous System (97)
Bones, Joints, and Soft-Tissue Tumours (86)
Lower Urinary Tract and Male Genital System (42)
Head and Neck (41)
Liver and Biliary Tract (39)
Kidney (36)
Lung (28)
Peripheral Nerve and Skeletal Muscle (21)
Blood Vessels (18)
Pancreas (18)
Endocrine System (17)
Heart (14)
Red Blood Cells and Bleeding Disorders (5)
Eye (4)
Search
Legend
= Add to favorites
= Added to favorites
= Multiple Slides
List View
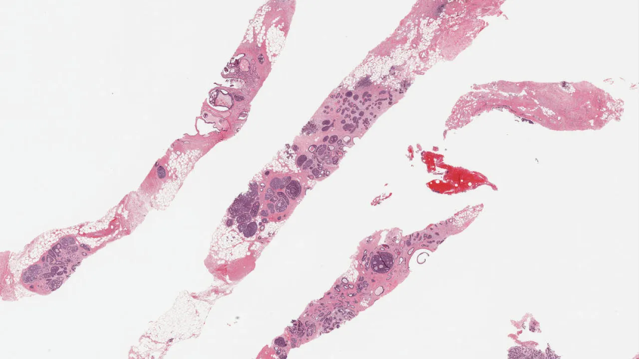
Colon, Low grade carcinoma
Cervix, Metastatic adenocarcinoma, CDX2 stain
Cervix, Metastatic adenocarcinoma, CK20 stain
Cervix, Metastatic adenocarcinoma, H&E stain
Bone Marrow, Composite B-cell lymphoma, H&E stain
Bone Marrow, Composite B-cell lymphoma, IgM stain
Bone Marrow, Composite B-cell lymphoma, aspirate
Bone Marrow, Composite B-cell lymphoma, Cyclin-D1 stain
Peripheral Blood, Composite B-cell lymphoma
Bone Marrow, Composite B-cell lymphoma, CD20 stain
Bone Marrow, Composite B-cell lymphoma, Lambda stain
Bone Marrow, Composite B-cell lymphoma, CD 5 stain
Bone Marrow, Composite B-cell lymphoma, Kappa stain
Bone Marrow, Composite B-cell lymphoma, CD3 stain
Bone Marrow, Composite B-cell lymphoma, Imprint
Breast, Adenoid cystic carcinoma
Breast, Breast implant associated anaplastic large cell lymphoma
Breast, Metastatic well-differentiated neuroendocrine tumour from GI origin
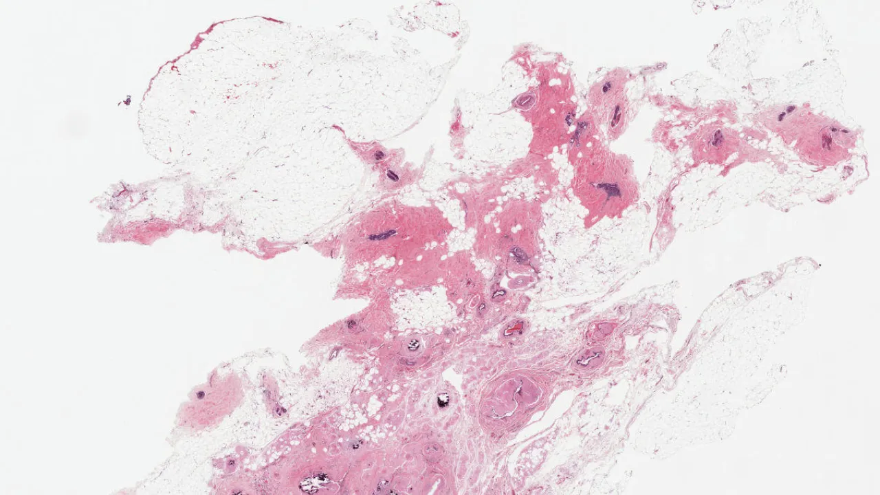
Breast, Amyloidosis
Spleen, Infectious Mononucleosis, CD20 stain
Spleen, Infectious Mononucleosis, CD30 stain
Spleen, Infectious Mononucleosis, EBER stain
Spleen, Infectious Mononucleosis, H&E stain
Spleen, Infectious Mononucleosis, Granzyme stain
Spleen, Infectious Mononucleosis, MIB-1 stain
Spleen, Infectious Mononucleosis, H&E stain
Spleen, Infectious Mononucleosis, CD8 stain
Spleen, Infectious Mononucleosis, Lambda stain
Spleen, Infectious Mononucleosis, CD4 stain
Spleen, Infectious Mononucleosis, Kappa stain
Pagination
First page
|‹
Previous page
‹
…
Page
2
Page
3
Page
4
Page
5
Page
6
Page
7
Page
8
Page
9
Page
10
…
Next page
›
Last page
›|