Skip to main content
Quick Links
Temerty Faculty of Medicine
Main navigation
ACORN/ROSI
DLM Library
Quercus
U of T Main
Search
Utility navigation
How to get help
DLML Menu
Home
Search
DLML Menu Secondary
Contributers
Help
Login
Lock Sidebar Open
Disable Hover
I'm looking for
Disease Category
Neoplasia (749)
Normal State (130)
Cellular Responses to Stress and Toxic Insults: Adaptation, Injury, and Death (91)
Infectious Diseases (69)
Diseases of Infancy and Childhood (43)
Acute and Chronic Inflammation (43)
Genetic Disorders (42)
Diseases of the Immune System (34)
Tissue Renewal, Regeneration, and Repair (9)
Hemodynamic Disorders, Thromboembolic Disease and Shock (2)
Environmental and Nutritional Diseases (1)
Gender
- Any -
Female (651)
Male (426)
Unknown (13)
Intersex (8)
Organ System/Discipline
White Blood Cells, Lymph Nodes, Spleen, and Thymus (219)
Skin (154)
Female Genital Tract (151)
Breast (113)
Gastrointestinal Tract (113)
Central Nervous System (97)
Bones, Joints, and Soft-Tissue Tumours (86)
Lower Urinary Tract and Male Genital System (42)
Head and Neck (41)
Liver and Biliary Tract (39)
Kidney (36)
Lung (28)
Peripheral Nerve and Skeletal Muscle (21)
Blood Vessels (18)
Pancreas (18)
Endocrine System (17)
Heart (14)
Red Blood Cells and Bleeding Disorders (5)
Eye (4)
Search
Disease Category
Neoplasia (749)
Normal State (130)
Cellular Responses to Stress and Toxic Insults: Adaptation, Injury, and Death (91)
Infectious Diseases (69)
Diseases of Infancy and Childhood (43)
Acute and Chronic Inflammation (43)
Genetic Disorders (42)
Diseases of the Immune System (34)
Tissue Renewal, Regeneration, and Repair (9)
Hemodynamic Disorders, Thromboembolic Disease and Shock (2)
Environmental and Nutritional Diseases (1)
Gender
- Any -
Female (651)
Male (426)
Unknown (13)
Intersex (8)
Organ System/Discipline
White Blood Cells, Lymph Nodes, Spleen, and Thymus (219)
Skin (154)
Female Genital Tract (151)
Breast (113)
Gastrointestinal Tract (113)
Central Nervous System (97)
Bones, Joints, and Soft-Tissue Tumours (86)
Lower Urinary Tract and Male Genital System (42)
Head and Neck (41)
Liver and Biliary Tract (39)
Kidney (36)
Lung (28)
Peripheral Nerve and Skeletal Muscle (21)
Blood Vessels (18)
Pancreas (18)
Endocrine System (17)
Heart (14)
Red Blood Cells and Bleeding Disorders (5)
Eye (4)
Search
Legend
= Add to favorites
= Added to favorites
= Multiple Slides
List View
Skin, Primary cutaneous follicle center lymphoma, CD10 stain
Skin, Cutaneous mycobacterial infection, Acid-fast stain
Skin, Primary cutaneous follicle center lymphoma, CD21 stain
Skin, Primary cutaneous follicle center lymphoma, CD20 stain
Pancreas, Solid pseudopapillary tumour, CD10 stain
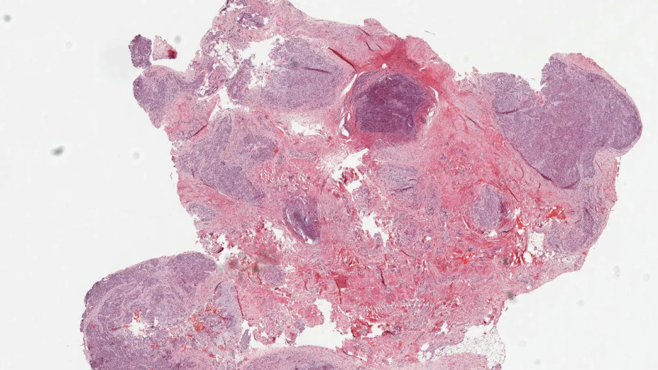
Soft Tissue, Diffuse-type giant cell tumour, H&E stain
Heart, Hypoplastic left heart syndrome, H&E stain
Pancreas, Solid pseudopapillary tumour, B catenin stain
Colon, Meckel diverticulum
Skin, Pyogenic granuloma, GLUT1 stain
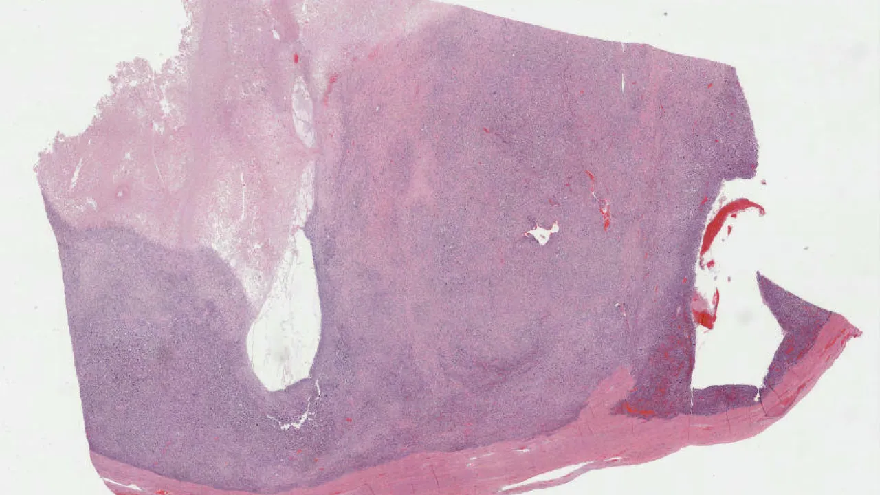
Pancreas, Solid pseudopapillary tumour, H&E stain
Nasal cavity, Mucous polyp, Gram stain
Skin, Pyogenic granuloma, H&E stain
Heart, Hypoplastic left heart syndrome, Movat stain
Nasal cavity, Mucous polyp, Alcian blue stain
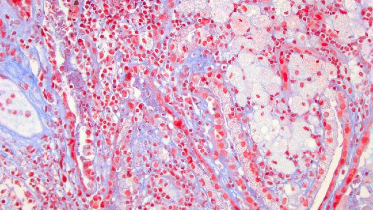
Soft Tissue, Diffuse-type giant cell tumour, colloidal iron stain
Heart, Hypoplastic left heart syndrome, H&E stain
Nasal cavity, Mucous polyp, H&E stain
Pancreas, Solid pseudopapillary tumour, PAS stain
Soft Tissue, Diffuse-type giant cell tumour, Trichrome stain
Heart, Hypoplastic left heart syndrome, Movat stain
Kidney, Glomerular basement membrane with structural abnormalities
Skin, Pilomatricoma
Uterus, Leiomyosarcoma
Uterus, Invasive complete hydatidiform mole
Kidney, Glomerular basement membrane with structural abnormalities
Skin, Glomus tumour
Kidney, Xanthogranulomatous pyelonephritis, Trichrome stain
Breast, Radial scar with florid epithelial hyperplasia
Skin, Pilomatrical carcinoma
Pagination
First page
|‹
Previous page
‹
…
Page
6
Page
7
Page
8
Page
9
Page
10
Page
11
Page
12
Page
13
Page
14
…
Next page
›
Last page
›|