Skip to main content
Quick Links
Temerty Faculty of Medicine
Main navigation
ACORN/ROSI
DLM Library
Quercus
U of T Main
Search
Utility navigation
How to get help
DLML Menu
Home
Search
DLML Menu Secondary
Contributers
Help
Login
Lock Sidebar Open
Disable Hover
I'm looking for
Disease Category
Neoplasia (749)
Normal State (130)
Cellular Responses to Stress and Toxic Insults: Adaptation, Injury, and Death (91)
Infectious Diseases (69)
Diseases of Infancy and Childhood (43)
Acute and Chronic Inflammation (43)
Genetic Disorders (42)
Diseases of the Immune System (34)
Tissue Renewal, Regeneration, and Repair (9)
Hemodynamic Disorders, Thromboembolic Disease and Shock (2)
Environmental and Nutritional Diseases (1)
Gender
- Any -
Female (651)
Male (426)
Unknown (13)
Intersex (8)
Organ System/Discipline
White Blood Cells, Lymph Nodes, Spleen, and Thymus (219)
Skin (154)
Female Genital Tract (151)
Breast (113)
Gastrointestinal Tract (113)
Central Nervous System (97)
Bones, Joints, and Soft-Tissue Tumours (86)
Lower Urinary Tract and Male Genital System (42)
Head and Neck (41)
Liver and Biliary Tract (39)
Kidney (36)
Lung (28)
Peripheral Nerve and Skeletal Muscle (21)
Blood Vessels (18)
Pancreas (18)
Endocrine System (17)
Heart (14)
Red Blood Cells and Bleeding Disorders (5)
Eye (4)
Search
Disease Category
Neoplasia (749)
Normal State (130)
Cellular Responses to Stress and Toxic Insults: Adaptation, Injury, and Death (91)
Infectious Diseases (69)
Diseases of Infancy and Childhood (43)
Acute and Chronic Inflammation (43)
Genetic Disorders (42)
Diseases of the Immune System (34)
Tissue Renewal, Regeneration, and Repair (9)
Hemodynamic Disorders, Thromboembolic Disease and Shock (2)
Environmental and Nutritional Diseases (1)
Gender
- Any -
Female (651)
Male (426)
Unknown (13)
Intersex (8)
Organ System/Discipline
White Blood Cells, Lymph Nodes, Spleen, and Thymus (219)
Skin (154)
Female Genital Tract (151)
Breast (113)
Gastrointestinal Tract (113)
Central Nervous System (97)
Bones, Joints, and Soft-Tissue Tumours (86)
Lower Urinary Tract and Male Genital System (42)
Head and Neck (41)
Liver and Biliary Tract (39)
Kidney (36)
Lung (28)
Peripheral Nerve and Skeletal Muscle (21)
Blood Vessels (18)
Pancreas (18)
Endocrine System (17)
Heart (14)
Red Blood Cells and Bleeding Disorders (5)
Eye (4)
Search
Legend
= Add to favorites
= Added to favorites
= Multiple Slides
Grid View
Soft Tissue, Glomus tumour
Lymph Nodes, Kikuchi-Fujimoto disease, CD123 stain
Nasal Cavity, Langerhan cell histiocytosis, S100 stain
Breast, Epithelial-myoepithelial invasive carcinoma, S100 stain
Lymph Nodes, Kikuchi-Fujimoto disease, CD3 stain
Nasal Cavity, Langerhan cell histiocytosis, CD1a stain
Breast, Epithelial-myoepithelial invasive carcinoma, CK7 stain
Lymph Nodes, Kikuchi-Fujimoto disease, CD20 stain
Nasal Cavity, Langerhan cell histiocytosis, H&E stain
Breast, Epithelial-myoepithelial invasive carcinoma, H&E stain
Lymph Nodes, Kikuchi-Fujimoto disease, H&E stain
Lymph Nodes, Kikuchi-Fujimoto disease, CD30 stain
Cervix, High-grade squamous intraepithelial lesion, H&E stain
Breast, Massive localized lymphedema
Lymph Nodes, Kikuchi-Fujimoto disease, CD68 stain
Lymph Nodes, Sarcoidosis
Breast, Epithelial-myoepithelial invasive carcinoma, p63 stain
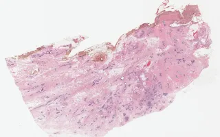
Skin, Trichilemmal cyst
Colon, Diversion colitis
Endocervix, Adenocarcinoma in-situ
Breast, Granular cell tumour
Parotid gland, Acinic cell carcinoma
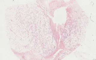
Skin, Pilonidal sinus
Soft Tissue, Giant cell tumour of tendon sheath
Cervix, High grade squamous intraepithelial lesion
Breast, Perilobular hemangioma
Brain, Hemangioblastoma
Skin, Blue Nevus
Vulva, Hidradenoma papilliferum
Cervix, Candida
Pagination
First page
|‹
Previous page
‹
…
Page
10
Page
11
Page
12
Page
13
Page
14
Page
15
Page
16
Page
17
Page
18
…
Next page
›
Last page
›|