Skip to main content
Quick Links
Temerty Faculty of Medicine
Main navigation
ACORN/ROSI
DLM Library
Quercus
U of T Main
Search
Utility navigation
How to get help
DLML Menu
Home
Search
DLML Menu Secondary
Contributers
Help
Login
Lock Sidebar Open
Disable Hover
I'm looking for
Disease Category
Neoplasia (749)
Normal State (130)
Cellular Responses to Stress and Toxic Insults: Adaptation, Injury, and Death (91)
Infectious Diseases (69)
Diseases of Infancy and Childhood (43)
Acute and Chronic Inflammation (43)
Genetic Disorders (42)
Diseases of the Immune System (34)
Tissue Renewal, Regeneration, and Repair (9)
Hemodynamic Disorders, Thromboembolic Disease and Shock (2)
Environmental and Nutritional Diseases (1)
Gender
- Any -
Female (651)
Male (426)
Unknown (13)
Intersex (8)
Organ System/Discipline
White Blood Cells, Lymph Nodes, Spleen, and Thymus (219)
Skin (154)
Female Genital Tract (151)
Breast (113)
Gastrointestinal Tract (113)
Central Nervous System (97)
Bones, Joints, and Soft-Tissue Tumours (86)
Lower Urinary Tract and Male Genital System (42)
Head and Neck (41)
Liver and Biliary Tract (39)
Kidney (36)
Lung (28)
Peripheral Nerve and Skeletal Muscle (21)
Blood Vessels (18)
Pancreas (18)
Endocrine System (17)
Heart (14)
Red Blood Cells and Bleeding Disorders (5)
Eye (4)
Search
Disease Category
Neoplasia (749)
Normal State (130)
Cellular Responses to Stress and Toxic Insults: Adaptation, Injury, and Death (91)
Infectious Diseases (69)
Diseases of Infancy and Childhood (43)
Acute and Chronic Inflammation (43)
Genetic Disorders (42)
Diseases of the Immune System (34)
Tissue Renewal, Regeneration, and Repair (9)
Hemodynamic Disorders, Thromboembolic Disease and Shock (2)
Environmental and Nutritional Diseases (1)
Gender
- Any -
Female (651)
Male (426)
Unknown (13)
Intersex (8)
Organ System/Discipline
White Blood Cells, Lymph Nodes, Spleen, and Thymus (219)
Skin (154)
Female Genital Tract (151)
Breast (113)
Gastrointestinal Tract (113)
Central Nervous System (97)
Bones, Joints, and Soft-Tissue Tumours (86)
Lower Urinary Tract and Male Genital System (42)
Head and Neck (41)
Liver and Biliary Tract (39)
Kidney (36)
Lung (28)
Peripheral Nerve and Skeletal Muscle (21)
Blood Vessels (18)
Pancreas (18)
Endocrine System (17)
Heart (14)
Red Blood Cells and Bleeding Disorders (5)
Eye (4)
Search
Legend
= Add to favorites
= Added to favorites
= Multiple Slides
List View
Breast, Invasive ductal carcinoma, HER2 stain
Breast, Paget disease, HER2 stain
Breast, Invasive ductal carcinoma, PgR Stain
Breast, Paget disease, CK7 stain
Breast, Invasive ductal carcinoma, ER stain
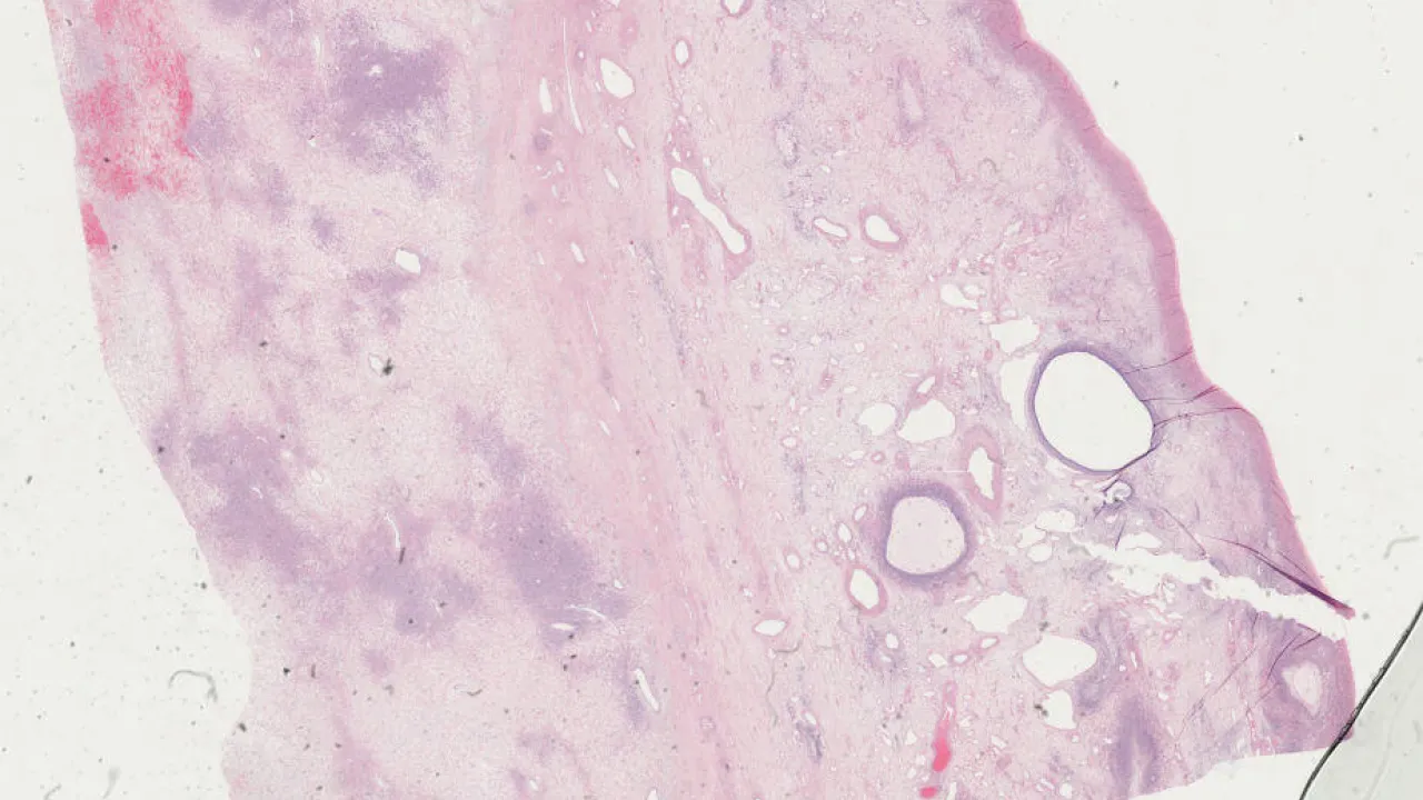
Body Morphology, OEIS Complex
Abdomen, OEIS Complex
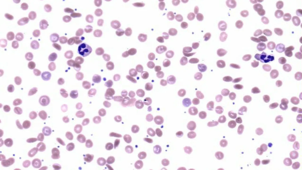
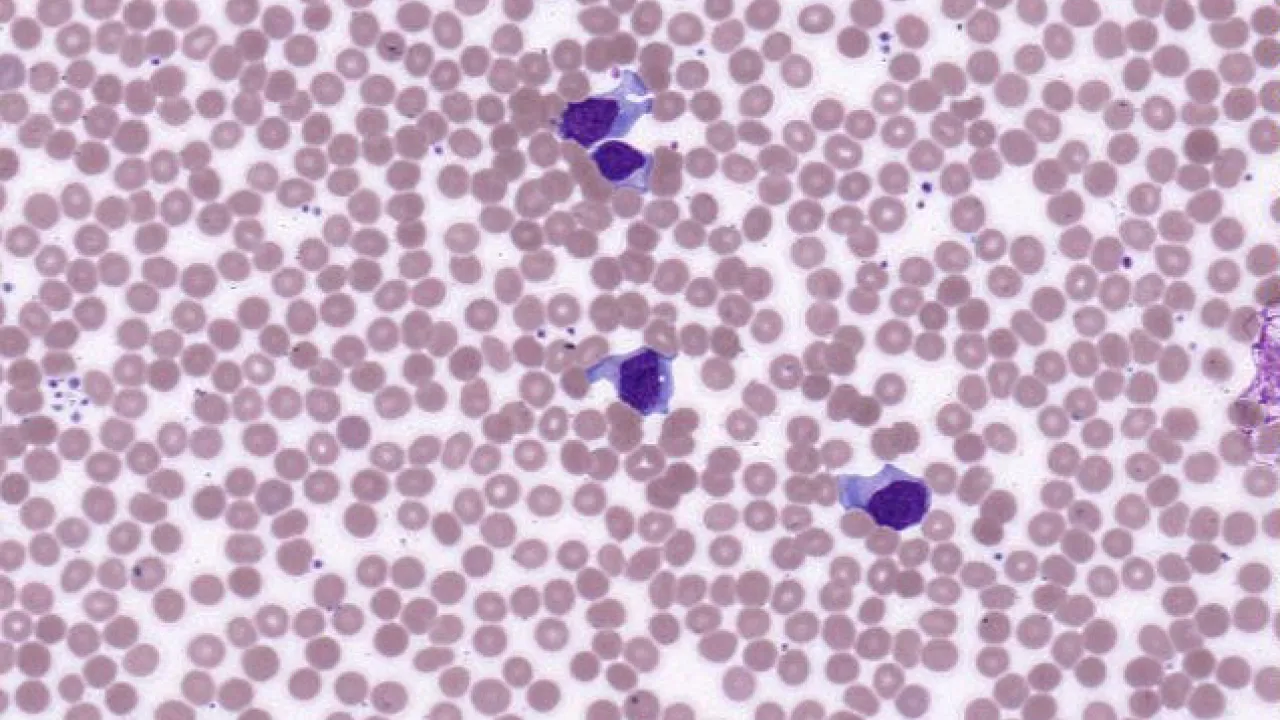
Peripheral Blood, Sickle cell anemia
Body Morphology, OEIS Complex
Body Morphology, OEIS Complex
Peripheral Blood, Infectious mononucleosis
Body Morphology, Thanatophoric Dysplasia Type II
Bladder, OEIS Complex
Body Morphology, Thanatophoric Dysplasia Type II
Body Morphology, OEIS Complex
Thorax, OEIS Complex
Brain, Thanatophoric Dysplasia Type II
Cloaca, OEIS Complex
Sacrum, OEIS Complex
Skeleton, Thanatophoric Dysplasia Type II
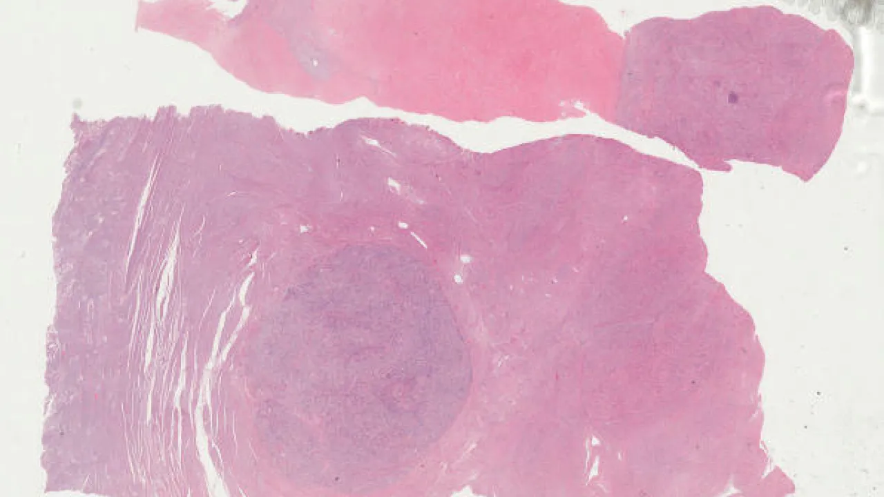
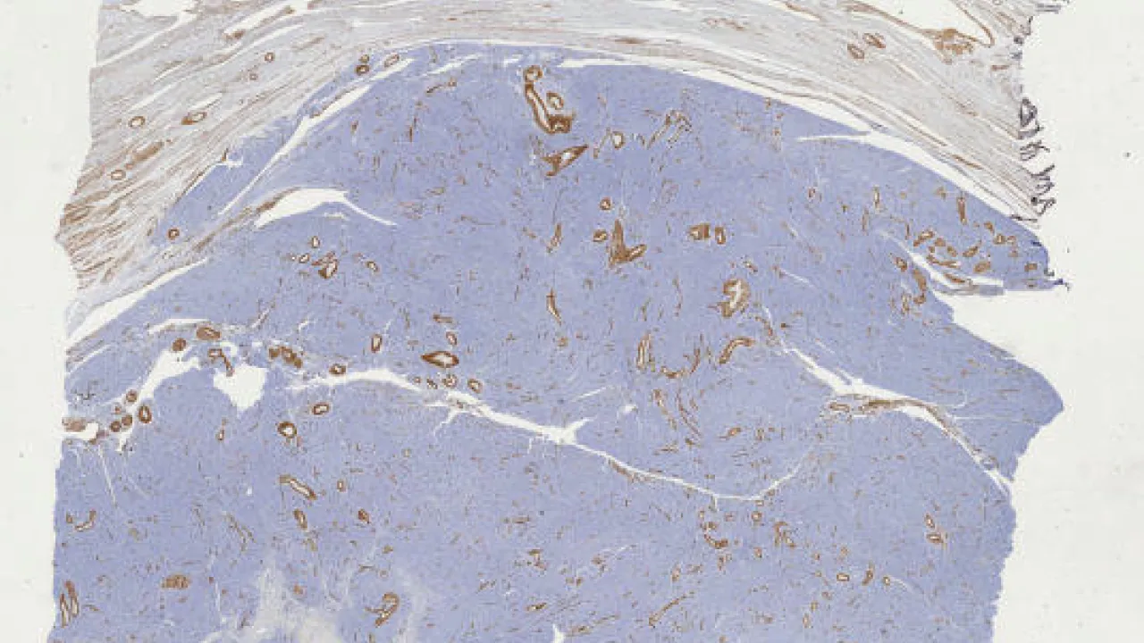
Uterus, Highly cellular leiomyoma, CD10 stain
Uterus, Highly cellular leiomyoma, H&E stain
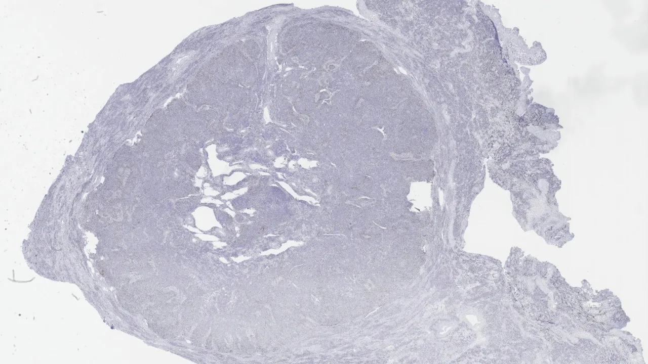
Ovary, Sclerosing stromal tumour, inhibin stain
Uterus, Highly cellular leiomyoma, MIB1 stain
Ovary, Sclerosing stromal tumour, H&E stain
Uterus, Highly cellular leiomyoma, desmin stain
Uterus, Atypical leiomyoma
Uterus, Highly cellular leiomyoma, caldesmon stain
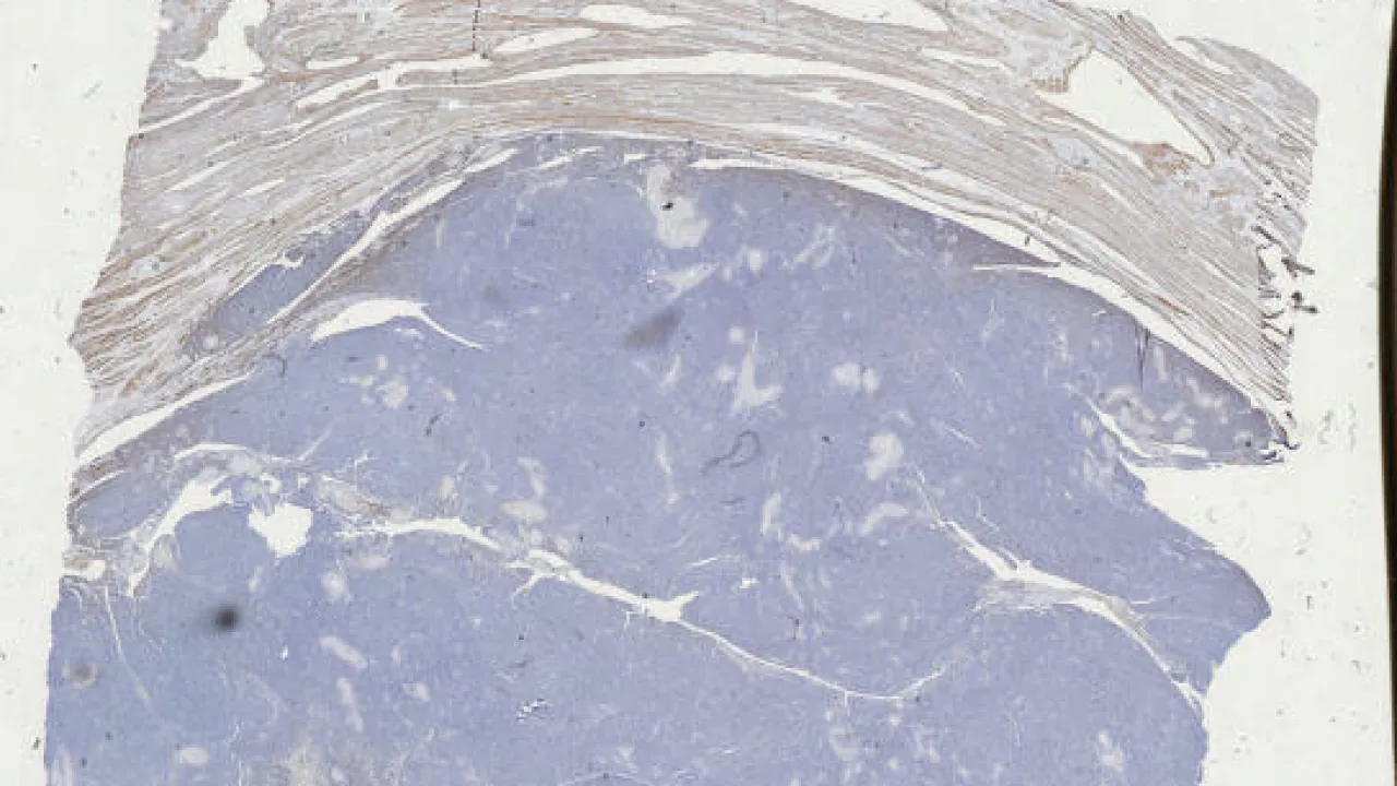
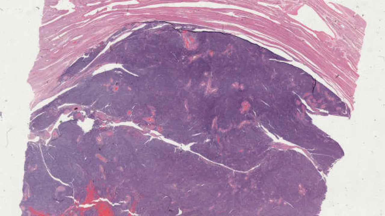
Liver, Intravascular large B cell lymphoma, CD20 stain
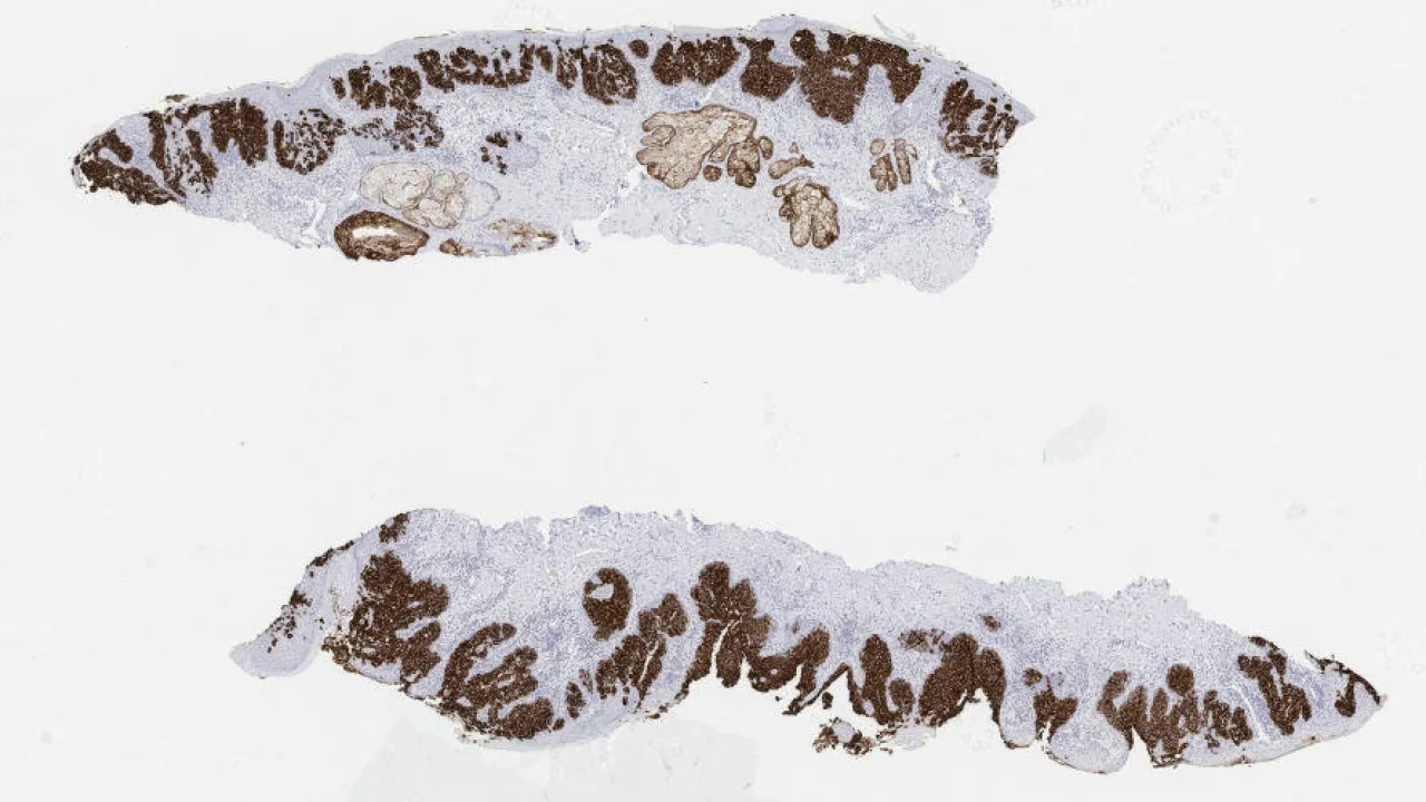
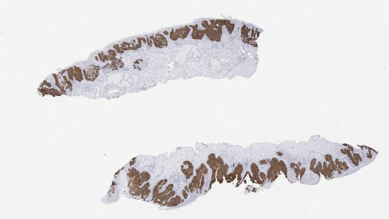
Lymph Node, Nodal marginal zone lymphoma, MIB1 stain
Pagination
First page
|‹
Previous page
‹
…
Page
8
Page
9
Page
10
Page
11
Page
12
Page
13
Page
14
Page
15
Page
16
…
Next page
›
Last page
›|