Skip to main content
Quick Links
Temerty Faculty of Medicine
Main navigation
ACORN/ROSI
DLM Library
Quercus
U of T Main
Search
Utility navigation
How to get help
DLML Menu
Home
Search
DLML Menu Secondary
Contributers
Help
Login
Lock Sidebar Open
Disable Hover
Neoplasia
Salivary gland, Basal cell adenoma
Salivary gland, Mucoepidermoid carcinoma
Skin, Epithelioid hemangioma
Skin, Smooth muscle hamartoma
Skin, Cylindroma
Skin, Schwannoma
Skin, Masson's tumour
Skin, Clear Cell Acanthoma
Skin, Actinic keratosis
Skin, Extramammary Paget disease
Skin, Dermatofibrosarcoma protuberans, CD34 stain
Skin, Dermatofibrosarcoma protuberans, H&E stain
Lymph Node, Metastatic melanoma & Nodal nevus
Skin, Diffuse large B-cell lymphoma, leg type
Skin, Follicular Lymphoma
Cerebellum, Hemangioblastoma
Mandible, Ameloblastoma
Lymph Node, Hodgkin lymphoma, nodular sclerosis type
Palate, Polymorphous low grade adenocarcinoma
Carotid Body, Paraganglioma
Thyroid, Medullary carcinoma
Thyroid, Papillary carcinoma
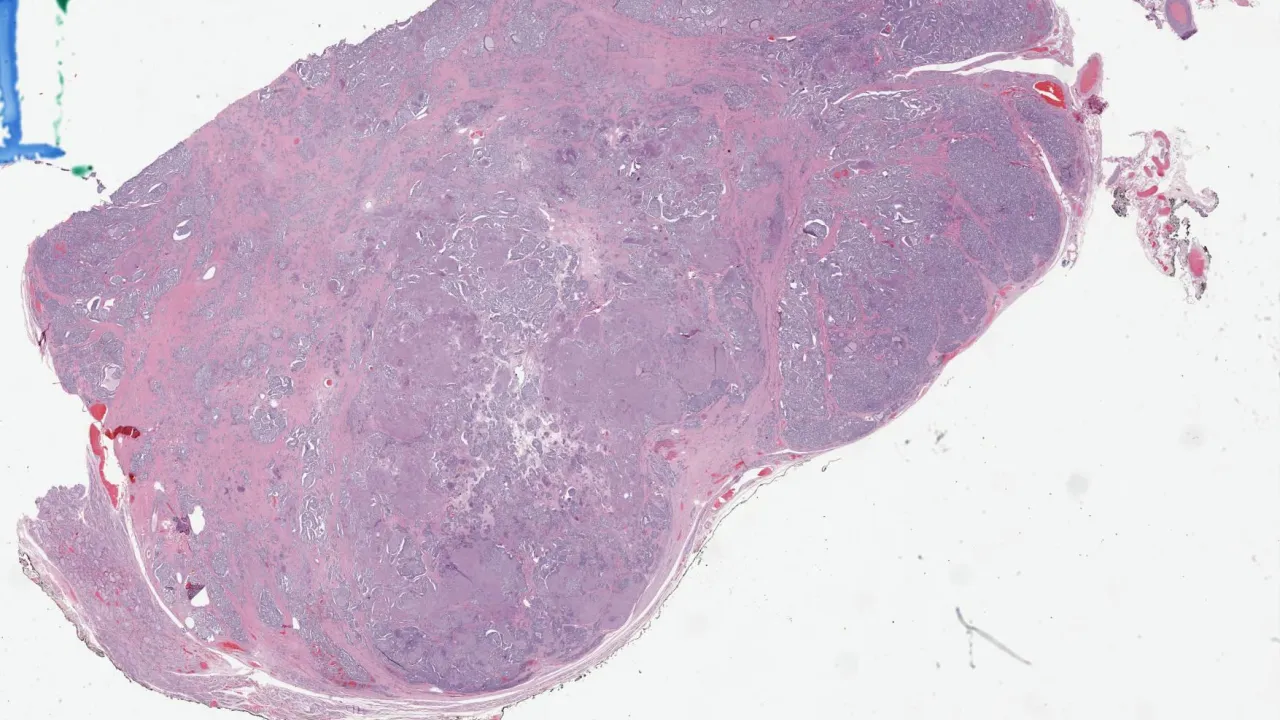
Kidney, Oncocytoma
Pancreas, Solid pseudopapillary tumor
Lung, Small cell carcinoma
Pleura, Malignant mesothelioma, biphasic type
Thymus, Thymoma, WHO Type A
Prostate, Adenocarcinoma, Gleason 4+4=8
Bone, Chordoma
Soft Tissue, Angiolipoma
Soft Tissue, Alveolar soft part sarcoma
Ovary, Adult type granulosa cell tumor
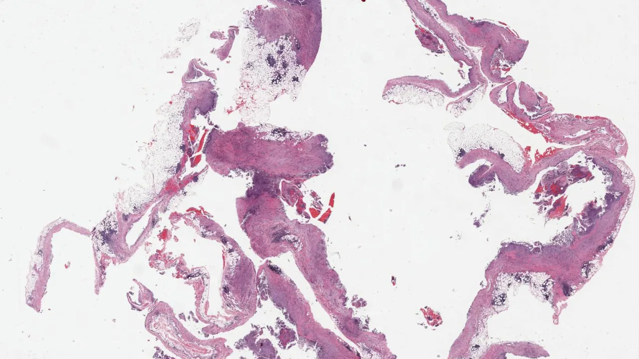
Placenta, Complete hydatidiform mole
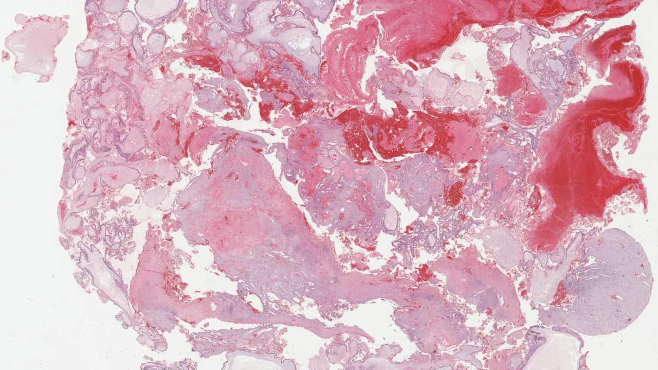
Spleen, Littoral cell angioma
Esophagus, Granular cell tumour
Duodenum, Gastrointestinal stromal tumour
Ovary, Low-grade serous carcinoma
Soft Tissue, Adenomatoid tumour
Breast, Invasive lobular carcinoma
Appendix, Sessile serrated adenoma
Pagination
First page
« First
Previous page
‹‹
…
Page
5
Page
6
Page
7
Page
8
Page
9
Page
10
Page
11
Page
12
Page
13
…
Next page
››
Last page
Last »
Subscribe to Neoplasia