Skip to main content
Quick Links
Temerty Faculty of Medicine
Main navigation
ACORN/ROSI
DLM Library
Quercus
U of T Main
Search
Utility navigation
How to get help
DLML Menu
Home
Search
DLML Menu Secondary
Contributers
Help
Login
Lock Sidebar Open
Disable Hover
Neoplasia
Breast, Invasive ductal carcinoma, EMA stain
Breast, Invasive ductal carcinoma, ER stain
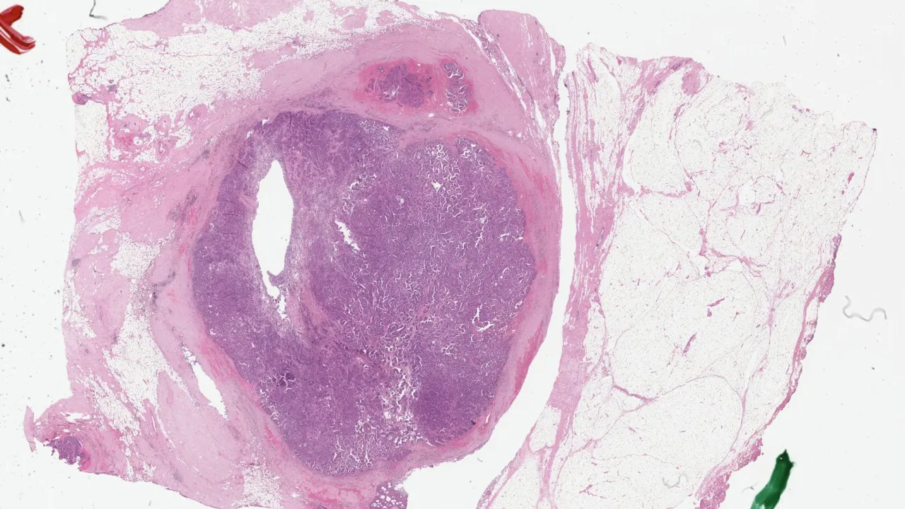
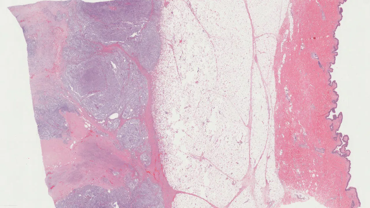
Breast, Invasive ductal carcinoma, H&E stain
Breast, Invasive ductal carcinoma, H&E stain
Breast, Invasive ductal carcinoma, HER2 stain
Breast, Invasive ductal carcinoma, PgR Stain
Breast, Invasive lobular carcinoma
Breast, Paget disease, CK7 stain
Breast, Paget disease, H&E stain
Breast, Paget disease, HER2 stain
Breast, Paget disease, HMWK stain
Breast, Pleomorphic lobular carcinoma, E-cadherin stain
Breast, Pleomorphic lobular carcinoma, H&E stain
Ovary, Sclerosing stromal tumour, H&E stain
Ovary, Sclerosing stromal tumour, inhibin stain
Uterus, Atypical leiomyoma
Uterus, Highly cellular leiomyoma, caldesmon stain
Uterus, Highly cellular leiomyoma, CD10 stain
Uterus, Highly cellular leiomyoma, desmin stain
Uterus, Highly cellular leiomyoma, H&E stain
Uterus, Highly cellular leiomyoma, MIB1 stain
Liver, Intravascular large B cell lymphoma, CD20 stain
Liver, Intravascular large B cell lymphoma, H&E stain
Lymph Node, Nodal marginal zone lymphoma, CD10 stain
Lymph Node, Nodal marginal zone lymphoma, CD20 stain
Lymph Node, Nodal marginal zone lymphoma, CD21 stain
Lymph Node, Nodal marginal zone lymphoma, CD3 stain
Lymph Node, Nodal marginal zone lymphoma, CD5 stain
Lymph Node, Nodal marginal zone lymphoma, H&E stain
Lymph Node, Nodal marginal zone lymphoma, MIB1 stain
Lymph Nodes, Mixed phenotype acute leukemia, H&E stain
Lymph Nodes, Mixed phenotype acute leukemia, MPO stain
Lymph Nodes, Mixed phenotype acute leukemia, TdT stain
Cervix, High-grade squamous intraepithelial lesion, p16 stain
Liver, Residual hepatocellular carcinoma, H&E stain
Liver, Residual hepatocellular carcinoma, Trichrome stain
Bile duct, Adenocarcinoma
Soft Tissue, Glomus tumour
Breast, Epithelial-myoepithelial invasive carcinoma, CK7 stain
Breast, Epithelial-myoepithelial invasive carcinoma, H&E stain
Pagination
First page
« First
Previous page
‹‹
Page
1
Page
2
Page
3
Page
4
Page
5
Page
6
Page
7
Page
8
Page
9
…
Next page
››
Last page
Last »
Subscribe to Neoplasia