Skip to main content
Quick Links
Temerty Faculty of Medicine
Main navigation
ACORN/ROSI
DLM Library
Quercus
U of T Main
Search
Utility navigation
How to get help
DLML Menu
Home
Search
DLML Menu Secondary
Contributers
Help
Login
Lock Sidebar Open
Disable Hover
I'm looking for
Disease Category
Neoplasia (749)
Normal State (130)
Cellular Responses to Stress and Toxic Insults: Adaptation, Injury, and Death (91)
Infectious Diseases (69)
Diseases of Infancy and Childhood (43)
Acute and Chronic Inflammation (43)
Genetic Disorders (42)
Diseases of the Immune System (34)
Tissue Renewal, Regeneration, and Repair (9)
Hemodynamic Disorders, Thromboembolic Disease and Shock (2)
Environmental and Nutritional Diseases (1)
Gender
- Any -
Female (651)
Male (426)
Unknown (13)
Intersex (8)
Organ System/Discipline
White Blood Cells, Lymph Nodes, Spleen, and Thymus (219)
Skin (154)
Female Genital Tract (151)
Breast (113)
Gastrointestinal Tract (113)
Central Nervous System (97)
Bones, Joints, and Soft-Tissue Tumours (86)
Lower Urinary Tract and Male Genital System (42)
Head and Neck (41)
Liver and Biliary Tract (39)
Kidney (36)
Lung (28)
Peripheral Nerve and Skeletal Muscle (21)
Blood Vessels (18)
Pancreas (18)
Endocrine System (17)
Heart (14)
Red Blood Cells and Bleeding Disorders (5)
Eye (4)
Search
Disease Category
Neoplasia (749)
Normal State (130)
Cellular Responses to Stress and Toxic Insults: Adaptation, Injury, and Death (91)
Infectious Diseases (69)
Diseases of Infancy and Childhood (43)
Acute and Chronic Inflammation (43)
Genetic Disorders (42)
Diseases of the Immune System (34)
Tissue Renewal, Regeneration, and Repair (9)
Hemodynamic Disorders, Thromboembolic Disease and Shock (2)
Environmental and Nutritional Diseases (1)
Gender
- Any -
Female (651)
Male (426)
Unknown (13)
Intersex (8)
Organ System/Discipline
White Blood Cells, Lymph Nodes, Spleen, and Thymus (219)
Skin (154)
Female Genital Tract (151)
Breast (113)
Gastrointestinal Tract (113)
Central Nervous System (97)
Bones, Joints, and Soft-Tissue Tumours (86)
Lower Urinary Tract and Male Genital System (42)
Head and Neck (41)
Liver and Biliary Tract (39)
Kidney (36)
Lung (28)
Peripheral Nerve and Skeletal Muscle (21)
Blood Vessels (18)
Pancreas (18)
Endocrine System (17)
Heart (14)
Red Blood Cells and Bleeding Disorders (5)
Eye (4)
Search
Legend
= Add to favorites
= Added to favorites
= Multiple Slides
Grid View
Rectum, lymphangio-leiomyomatosis, HMB-45 stain
Rectum, lymphangio-leiomyomatosis, H&E stain
Blood vessels, tufted hemangioma, SMA stain
Blood vessels, tufted hemangioma, D2-40 stain
Blood vessels, tufted hemangioma, CD31 stain
Blood vessels, tufted hemangioma, H&E stain
Lung, surfactant dysfunction disorder
Brain, chronic ischemic encephalopathy
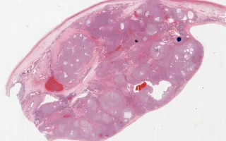
Testis, Mixed germ cell tumour
Bladder, High grade papillary urothelial carcinoma
Kidney, Clear cell renal cell carcinoma
Pancreas, Ductal adenocarcinoma
Rectum, Recto-sigmoid adenocarcinoma with large-vessel invasion, H&E stain
Rectum, Recto-sigmoid adenocarcinoma with large-vessel invasion, EVG stain
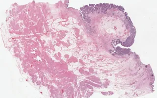
Skin, Porocarcinoma
Colon, collagenous colitis
Bone, Non-ossifying fibroma
Soft Tissue, Traumatic neuroma
Skin, Leukocytoclastic vasculitis
Ovary, Juvenile granulosa cell tumour
Soft Tissue, Inclusion body fibromatosis
Soft Tissue, Gardner-type Fibroma
Soft Tissue, Ganglion cyst
Lymph Node, Nodular lymphocyte predominant Hodgkin lymphoma, CD3 stain
Lymph Node, Nodular lymphocyte predominant Hodgkin lymphoma, CD20 stain
Lymph Node, Nodular lymphocyte predominant Hodgkin lymphoma, H&E stain
Soft Tissue, Diffuse-type giant cell tumour
Skin, Pilomatrixoma
Head and Neck, Odontogenic keratocyst
Soft Tissue, Kaposiform hemangioendothelioma
Pagination
First page
|‹
Previous page
‹
…
Page
26
Page
27
Page
28
Page
29
Page
30
Page
31
Page
32
Page
33
Page
34
…
Next page
›
Last page
›|