Skip to main content
Quick Links
Temerty Faculty of Medicine
Main navigation
ACORN/ROSI
DLM Library
Quercus
U of T Main
Search
Utility navigation
How to get help
DLML Menu
Home
Search
DLML Menu Secondary
Contributers
Help
Login
Lock Sidebar Open
Disable Hover
I'm looking for
Disease Category
Neoplasia (749)
Normal State (130)
Cellular Responses to Stress and Toxic Insults: Adaptation, Injury, and Death (91)
Infectious Diseases (69)
Diseases of Infancy and Childhood (43)
Acute and Chronic Inflammation (43)
Genetic Disorders (42)
Diseases of the Immune System (34)
Tissue Renewal, Regeneration, and Repair (9)
Hemodynamic Disorders, Thromboembolic Disease and Shock (2)
Environmental and Nutritional Diseases (1)
Gender
- Any -
Female (651)
Male (426)
Unknown (13)
Intersex (8)
Organ System/Discipline
White Blood Cells, Lymph Nodes, Spleen, and Thymus (219)
Skin (154)
Female Genital Tract (151)
Breast (113)
Gastrointestinal Tract (113)
Central Nervous System (97)
Bones, Joints, and Soft-Tissue Tumours (86)
Lower Urinary Tract and Male Genital System (42)
Head and Neck (41)
Liver and Biliary Tract (39)
Kidney (36)
Lung (28)
Peripheral Nerve and Skeletal Muscle (21)
Blood Vessels (18)
Pancreas (18)
Endocrine System (17)
Heart (14)
Red Blood Cells and Bleeding Disorders (5)
Eye (4)
Search
Disease Category
Neoplasia (749)
Normal State (130)
Cellular Responses to Stress and Toxic Insults: Adaptation, Injury, and Death (91)
Infectious Diseases (69)
Diseases of Infancy and Childhood (43)
Acute and Chronic Inflammation (43)
Genetic Disorders (42)
Diseases of the Immune System (34)
Tissue Renewal, Regeneration, and Repair (9)
Hemodynamic Disorders, Thromboembolic Disease and Shock (2)
Environmental and Nutritional Diseases (1)
Gender
- Any -
Female (651)
Male (426)
Unknown (13)
Intersex (8)
Organ System/Discipline
White Blood Cells, Lymph Nodes, Spleen, and Thymus (219)
Skin (154)
Female Genital Tract (151)
Breast (113)
Gastrointestinal Tract (113)
Central Nervous System (97)
Bones, Joints, and Soft-Tissue Tumours (86)
Lower Urinary Tract and Male Genital System (42)
Head and Neck (41)
Liver and Biliary Tract (39)
Kidney (36)
Lung (28)
Peripheral Nerve and Skeletal Muscle (21)
Blood Vessels (18)
Pancreas (18)
Endocrine System (17)
Heart (14)
Red Blood Cells and Bleeding Disorders (5)
Eye (4)
Search
Legend
= Add to favorites
= Added to favorites
= Multiple Slides
Grid View
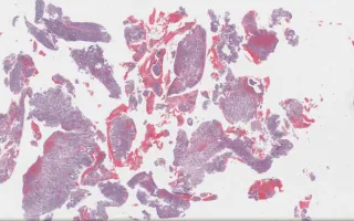
Stomach, Heterotopic pancreatic tissue
Heart, Papillary muscle ischemic necrosis
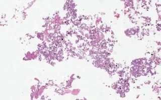
Placenta, Acute chorioamnionitis
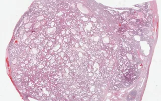
Skin, Subcutaneous Fat Necrosis
Uterus, leiomyosarcoma, caldesmon stain
Uterus, leiomyosarcoma
Uterus, leiomyosarcoma
Uterus, leiomyosarcoma
Vulva, Paget disease with invasion, CK7 stain
Vulva, Paget disease with invasion, H&E stain
Ovary, prostate tissue in mature cystic teratoma, p63 stain
Ovary, prostate tissue in mature cystic teratoma, PSA stain
Ovary, prostate tissue in mature cystic teratoma, H&E stain
Ovary, yolk sac tumour, Glypican3 stain
Ovary, yolk sac tumour, HNF-1B stain
Ovary, yolk sac tumour, AFP stain
Ovary, yolk sac tumour, H&E stain
Ovary, yolk sac tumour, EMA stain
Stomach, helicobacter pylori gastritis, Warthin-Starry stain
Stomach, helicobacter pylori gastritis, H&E stain
Endometrium, adenomyomatous polyp
Uterus, angioleiomyoma, caldesmon stain
Uterus, angioleiomyoma, H&E stain
Breast, inflammatory carcinoma
Endometrium, squamous morular metaplasia
Ovary, endometrioid carcinoma
Placenta, villitis of unknown etiology
Duodenum, giardiasis
Brain, Angiomatous meningioma
Brain, Psammomatous meningioma
Pagination
First page
|‹
Previous page
‹
…
Page
28
Page
29
Page
30
Page
31
Page
32
Page
33
Page
34
Page
35
Page
36
…
Next page
›
Last page
›|