Skip to main content
Quick Links
Temerty Faculty of Medicine
Main navigation
ACORN/ROSI
DLM Library
Quercus
U of T Main
Search
Utility navigation
How to get help
DLML Menu
Home
Search
DLML Menu Secondary
Contributers
Help
Login
Lock Sidebar Open
Disable Hover
I'm looking for
Disease Category
Neoplasia (749)
Normal State (130)
Cellular Responses to Stress and Toxic Insults: Adaptation, Injury, and Death (91)
Infectious Diseases (69)
Diseases of Infancy and Childhood (43)
Acute and Chronic Inflammation (43)
Genetic Disorders (42)
Diseases of the Immune System (34)
Tissue Renewal, Regeneration, and Repair (9)
Hemodynamic Disorders, Thromboembolic Disease and Shock (2)
Environmental and Nutritional Diseases (1)
Gender
- Any -
Female (651)
Male (426)
Unknown (13)
Intersex (8)
Organ System/Discipline
White Blood Cells, Lymph Nodes, Spleen, and Thymus (219)
Skin (154)
Female Genital Tract (151)
Breast (113)
Gastrointestinal Tract (113)
Central Nervous System (97)
Bones, Joints, and Soft-Tissue Tumours (86)
Lower Urinary Tract and Male Genital System (42)
Head and Neck (41)
Liver and Biliary Tract (39)
Kidney (36)
Lung (28)
Peripheral Nerve and Skeletal Muscle (21)
Blood Vessels (18)
Pancreas (18)
Endocrine System (17)
Heart (14)
Red Blood Cells and Bleeding Disorders (5)
Eye (4)
Search
Disease Category
Neoplasia (749)
Normal State (130)
Cellular Responses to Stress and Toxic Insults: Adaptation, Injury, and Death (91)
Infectious Diseases (69)
Diseases of Infancy and Childhood (43)
Acute and Chronic Inflammation (43)
Genetic Disorders (42)
Diseases of the Immune System (34)
Tissue Renewal, Regeneration, and Repair (9)
Hemodynamic Disorders, Thromboembolic Disease and Shock (2)
Environmental and Nutritional Diseases (1)
Gender
- Any -
Female (651)
Male (426)
Unknown (13)
Intersex (8)
Organ System/Discipline
White Blood Cells, Lymph Nodes, Spleen, and Thymus (219)
Skin (154)
Female Genital Tract (151)
Breast (113)
Gastrointestinal Tract (113)
Central Nervous System (97)
Bones, Joints, and Soft-Tissue Tumours (86)
Lower Urinary Tract and Male Genital System (42)
Head and Neck (41)
Liver and Biliary Tract (39)
Kidney (36)
Lung (28)
Peripheral Nerve and Skeletal Muscle (21)
Blood Vessels (18)
Pancreas (18)
Endocrine System (17)
Heart (14)
Red Blood Cells and Bleeding Disorders (5)
Eye (4)
Search
Legend
= Add to favorites
= Added to favorites
= Multiple Slides
List View
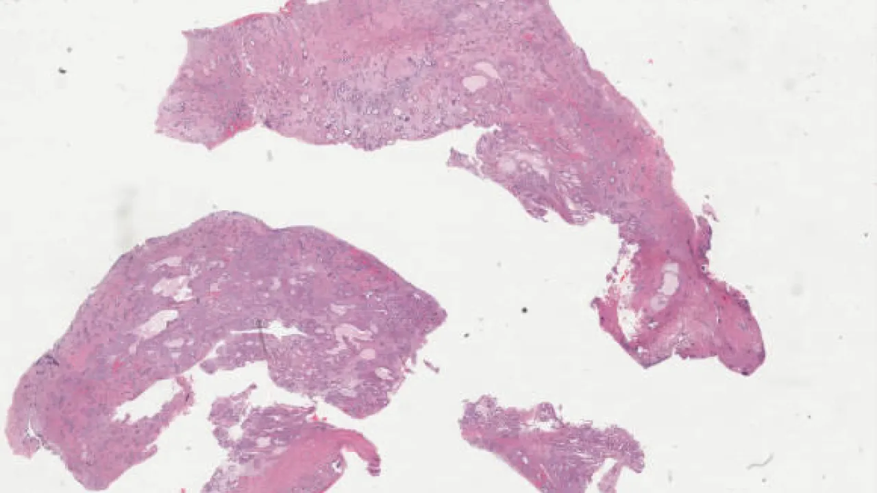
Fallopian tube, epithelial atypia
Ovary, adult granulosa cell tumour, reticulin stain
Ovary, adult granulosa cell tumour
Ovary, thecoma, reticulin stain
Ovary, thecoma
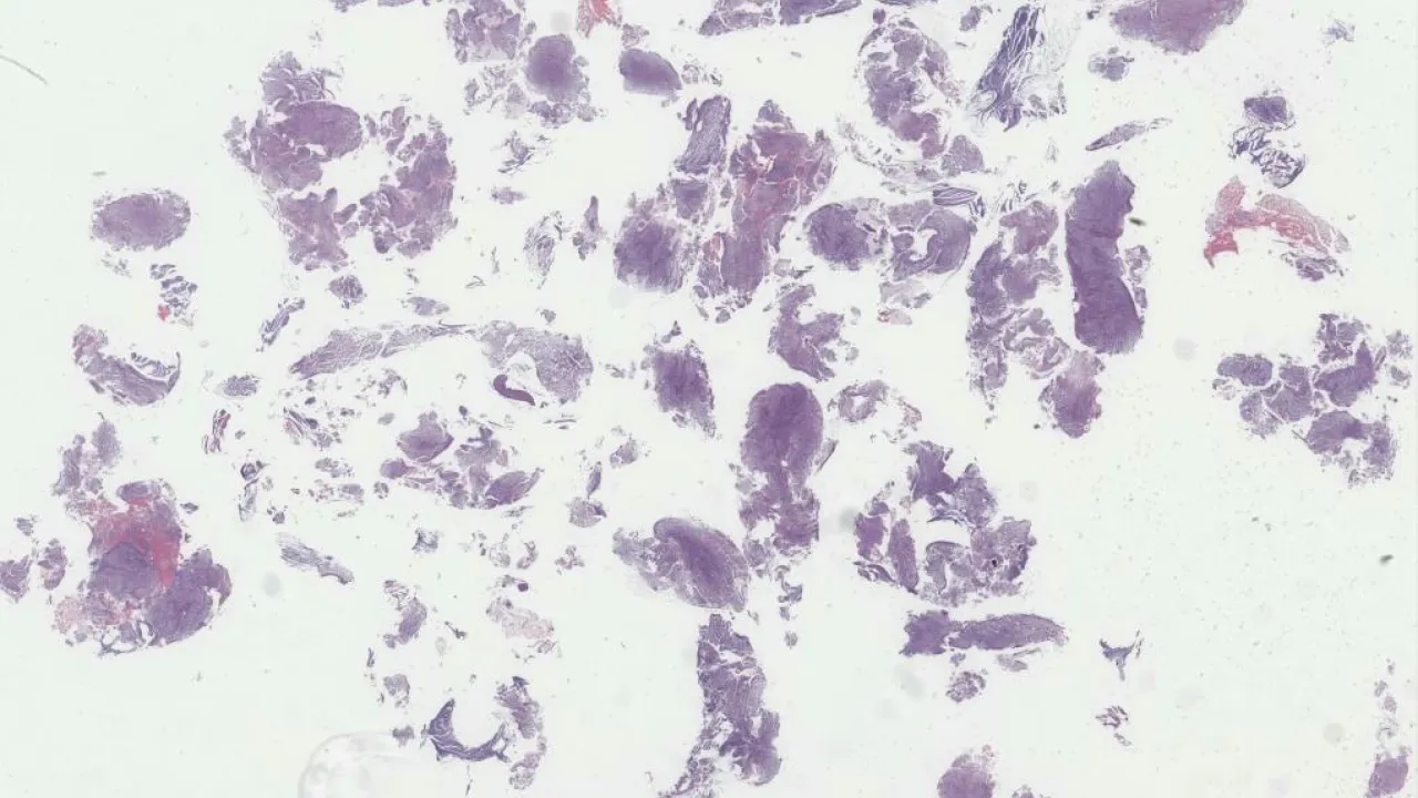
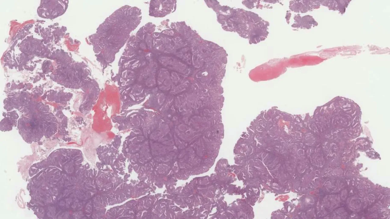
Ovary, metastatic mucinous neoplasm
Ovary, metastatic mucinous neoplasm
Uterus, high‐grade endometrial stromal sarcoma
Uterus, high‐grade endometrial stromal sarcoma
Endometrium, atypical hyperplasia with progestin effect
Endometrium, atypical hyperplasia
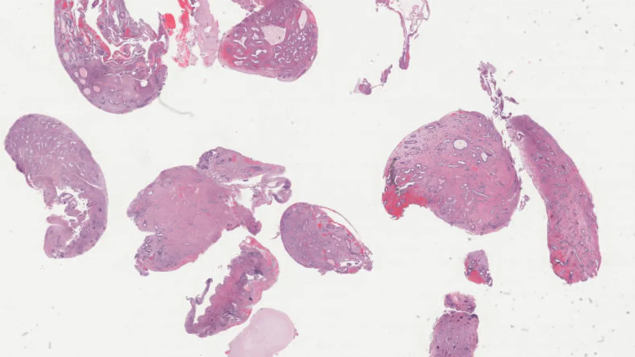
Endometrium, endometrial polyp
Endometrium, endometrial polyp
Endometrium, endometrial polyp
Endometrium, endometrial polyp
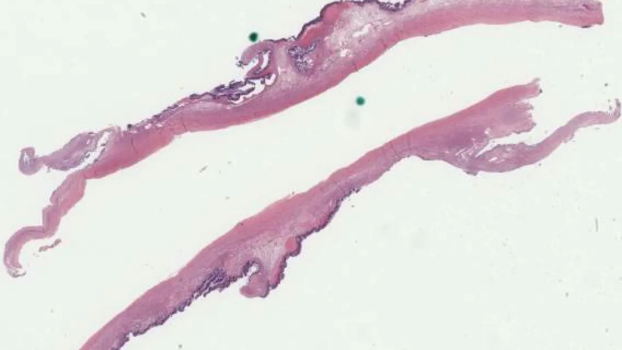
Cervix, stratified‐type adenocarcinoma in situ
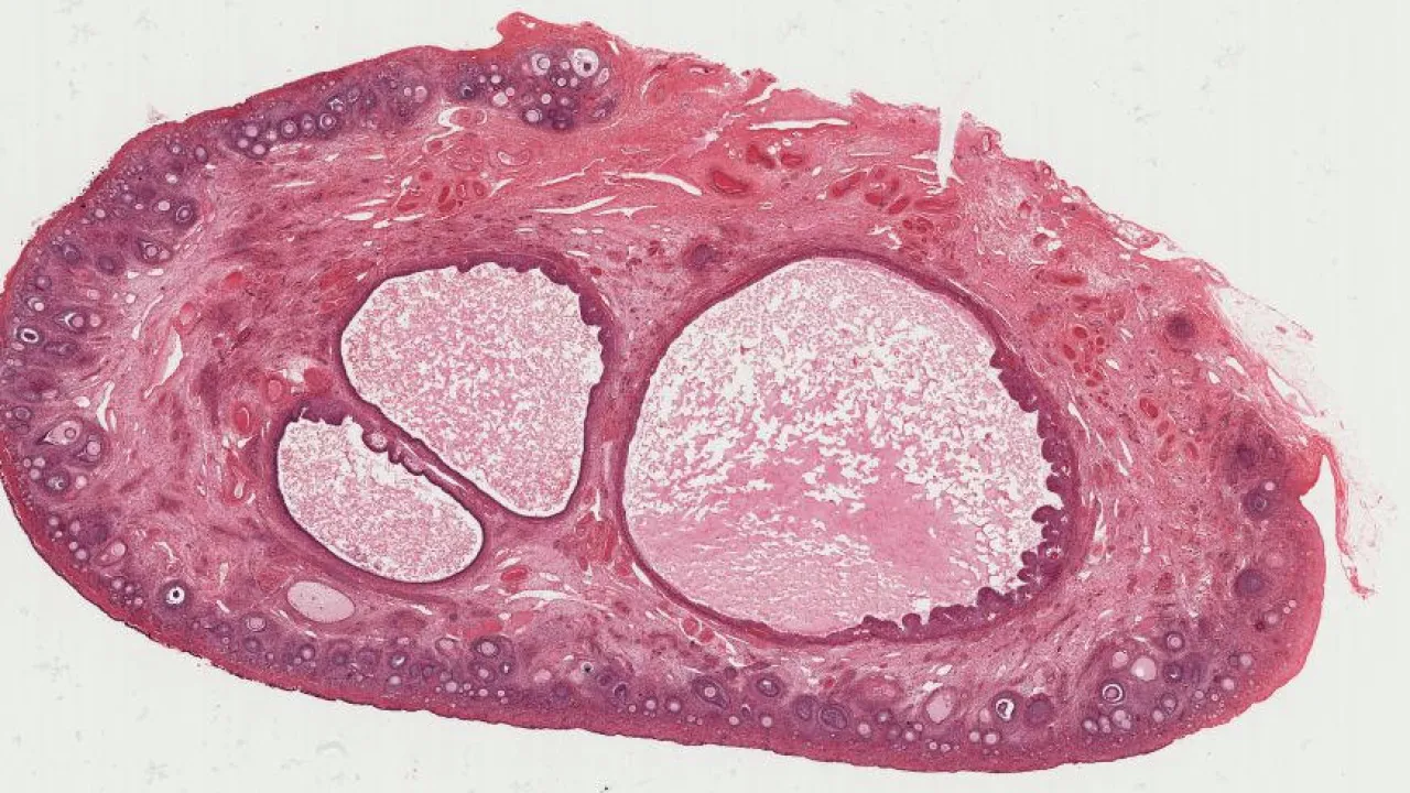
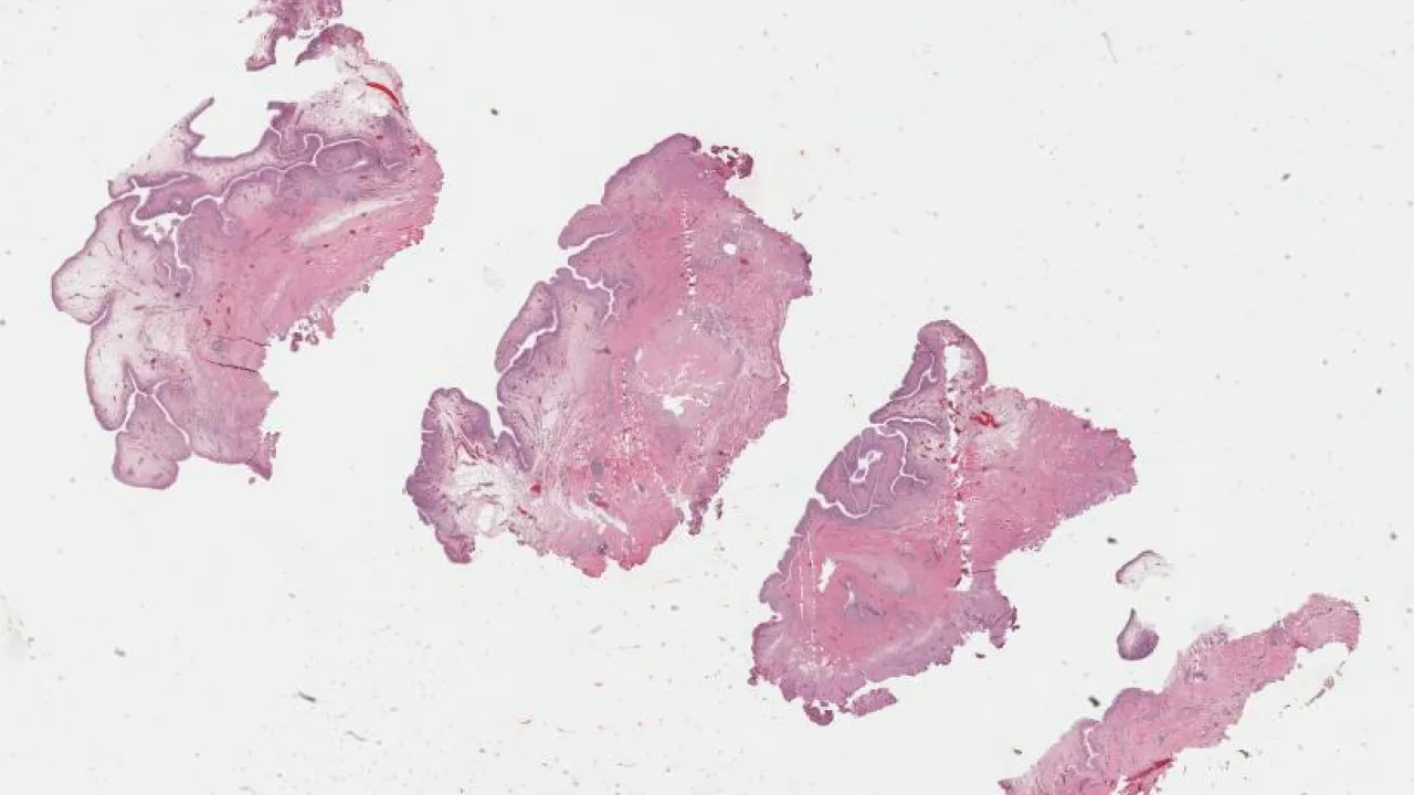
Vulva, vulvar intraepithelial neoplasia
Breast, Invasive Tubular Carcinoma
Breast, Adenoid Cystic Carcinoma
Ovary, Secondary follicle
Skin, Langerhans cell histiocytosis (LCH) (Langerin)
Skin, Langerhans cell histiocytosis (LCH) (H&E)
Skin, Langerhans cell histiocytosis (LCH) (CD1a)
Small Intestine, Submucosa
Small Intestine, Mucosa
Small Intestine, General Features
Small Intestine, Simple Squamous Epithelium
Lymph Nodules, MALT
Breast, Synovial-type Metaplasia
Breast, Hemangioma
Pagination
First page
|‹
Previous page
‹
…
Page
35
Page
36
Page
37
Page
38
Page
39
Page
40
Page
41
Page
42
Page
43
…
Next page
›
Last page
›|