Skip to main content
Quick Links
Temerty Faculty of Medicine
Main navigation
ACORN/ROSI
DLM Library
Quercus
U of T Main
Search
Utility navigation
How to get help
DLML Menu
Home
Search
DLML Menu Secondary
Contributers
Help
Login
Lock Sidebar Open
Disable Hover
I'm looking for
Disease Category
Neoplasia (749)
Normal State (130)
Cellular Responses to Stress and Toxic Insults: Adaptation, Injury, and Death (91)
Infectious Diseases (69)
Diseases of Infancy and Childhood (43)
Acute and Chronic Inflammation (43)
Genetic Disorders (42)
Diseases of the Immune System (34)
Tissue Renewal, Regeneration, and Repair (9)
Hemodynamic Disorders, Thromboembolic Disease and Shock (2)
Environmental and Nutritional Diseases (1)
Gender
- Any -
Female (651)
Male (426)
Unknown (13)
Intersex (8)
Organ System/Discipline
White Blood Cells, Lymph Nodes, Spleen, and Thymus (219)
Skin (154)
Female Genital Tract (151)
Breast (113)
Gastrointestinal Tract (113)
Central Nervous System (97)
Bones, Joints, and Soft-Tissue Tumours (86)
Lower Urinary Tract and Male Genital System (42)
Head and Neck (41)
Liver and Biliary Tract (39)
Kidney (36)
Lung (28)
Peripheral Nerve and Skeletal Muscle (21)
Blood Vessels (18)
Pancreas (18)
Endocrine System (17)
Heart (14)
Red Blood Cells and Bleeding Disorders (5)
Eye (4)
Search
Disease Category
Neoplasia (749)
Normal State (130)
Cellular Responses to Stress and Toxic Insults: Adaptation, Injury, and Death (91)
Infectious Diseases (69)
Diseases of Infancy and Childhood (43)
Acute and Chronic Inflammation (43)
Genetic Disorders (42)
Diseases of the Immune System (34)
Tissue Renewal, Regeneration, and Repair (9)
Hemodynamic Disorders, Thromboembolic Disease and Shock (2)
Environmental and Nutritional Diseases (1)
Gender
- Any -
Female (651)
Male (426)
Unknown (13)
Intersex (8)
Organ System/Discipline
White Blood Cells, Lymph Nodes, Spleen, and Thymus (219)
Skin (154)
Female Genital Tract (151)
Breast (113)
Gastrointestinal Tract (113)
Central Nervous System (97)
Bones, Joints, and Soft-Tissue Tumours (86)
Lower Urinary Tract and Male Genital System (42)
Head and Neck (41)
Liver and Biliary Tract (39)
Kidney (36)
Lung (28)
Peripheral Nerve and Skeletal Muscle (21)
Blood Vessels (18)
Pancreas (18)
Endocrine System (17)
Heart (14)
Red Blood Cells and Bleeding Disorders (5)
Eye (4)
Search
Legend
= Add to favorites
= Added to favorites
= Multiple Slides
List View
Breast, secretory carcinoma
Breast, fibroadenoma
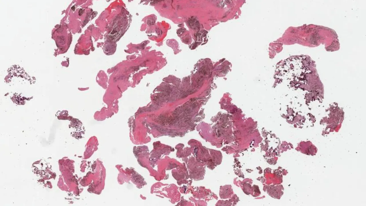
Colon, amebiasis
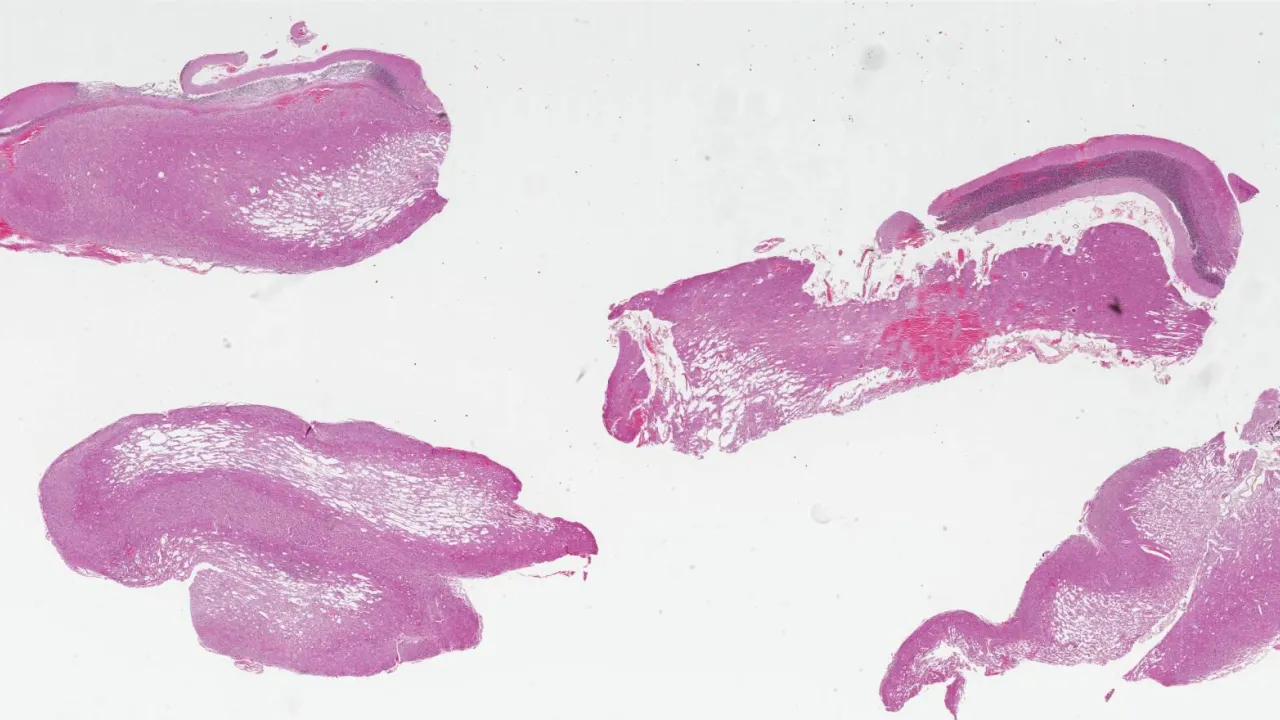
Skin, trichofolliculoma
Brain, Gliosarcoma
Brain and spinal cord, Churg-Strauss syndrome
Peripheral nerve, Psammamatous melanotic schwannoma
Soft tissue, phosphaturic mesenchymal tumour
Brain, Intravascular large B cell lymphoma
Meninges, IgG4-related pachymeningitis
Brain, Progressive multifocal leukoencephalopathy
Soft tissue, ischemic fasciitis
Brain, Pleomorphic xanthoastrocytoma
Brain, Mature teratoma
Brain, IgG4-related hypophysitis
Spinal cord, Tanycytic giant-cell ependymoma
Brain, Pineocytoma
Brain, Chordoid meningioma
Brain, Dysplastic gangliocytoma of cerebellum
Brain, Amyloid-beta related angiitis
Brain, Meningioangiomatosis
Brain, Toxoplasmosis
Brain, Sarcoidosis
Brain, Subependymoma
Brain, Clear cell meningioma
Peripheral nerve, Churg-Strauss
Skin, infantile hemangioma, H&E stain
Skin, infantile hemangioma, GLUT1 stain
Skin, infantile hemangioma, CD31 stain
Skin, Darier disease
Pagination
First page
|‹
Previous page
‹
…
Page
32
Page
33
Page
34
Page
35
Page
36
Page
37
Page
38
Page
39
Page
40
…
Next page
›
Last page
›|