Skip to main content
Quick Links
Temerty Faculty of Medicine
Main navigation
ACORN/ROSI
DLM Library
Quercus
U of T Main
Search
Utility navigation
How to get help
DLML Menu
Home
Search
DLML Menu Secondary
Contributers
Help
Login
Lock Sidebar Open
Disable Hover
White Blood Cells, Lymph Nodes, Spleen, and Thymus
Bone Marrow, Acute myeloid leukemia, CD34 stain
Bone Marrow, Acute myeloid leukemia, aspirate
Bone Marrow, Gaucher’s disease
Bone Marrow, systemic mastocytosis
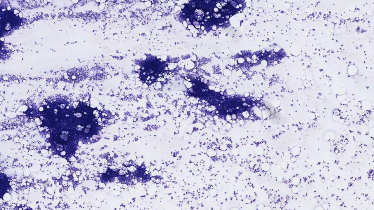
Peripheral Blood, systemic mastocytosis
Bone Marrow, systemic mastocytosis, CD20 stain
Bone Marrow, systemic mastocytosis, CD3 stain
Bone Marrow, systemic mastocytosis, CD2 stain
Bone Marrow, systemic mastocytosis, tryptase stain
Bone Marrow, systemic mastocytosis, CD117 stain
Bone Marrow, systemic mastocytosis, CD25 stain
Bone Marrow, systemic mastocytosis, reticulin stain
Bone Marrow, systemic mastocytosis, H&E stain
Lymph Node, Nodular lymphocyte predominant Hodgkin lymphoma, CD3 stain
Lymph Node, Nodular lymphocyte predominant Hodgkin lymphoma, CD20 stain
Lymph Node, Nodular lymphocyte predominant Hodgkin lymphoma, H&E stain
Lymph Nodes, Reactive follicular hyperplasia with progressive transformation of germinal centres
Lymph node, In situ follicular neoplasm, BCL6 stain
Lymph node, In situ follicular neoplasm, BCL2 stain
Lymph node, In situ follicular neoplasm, CD10 stain
Lymph node, In situ follicular neoplasm, H&E stain
Duodenum, Follicular lymphoma, CD23 stain
Duodenum, Follicular lymphoma, BCL2 stain
Duodenum, Follicular lymphoma, BCL6 stain
Duodenum, Follicular lymphoma, CD10 stain
Duodenum, Follicular lymphoma, CD20 stain
Duodenum, Follicular lymphoma, H&E stain
Lymph Nodes, Mantle cell lymphoma, H&E stain
Lymph Nodes, Mantle cell lymphoma, cyclin D1 stain
Lymph Nodes, Mantle cell lymphoma, CD5 stain
Lymph Nodes, Mantle cell lymphoma, CD23 stain
Lymph Nodes, Follicular lymphoma, BCL6 stain
Lymph Nodes, Follicular lymphoma, BCL2 stain
Lymph Nodes, Follicular lymphoma, CD10 stain
Lymph Nodes, Follicular lymphoma, CD20 stain
Lymph Nodes, Follicular lymphoma, H&E stain
Lymph nodes, benign intracapsular nevic cells
Lymph node, follicular lymphoma
Lymph Node, Hodgkin lymphoma, H&E stain
Lymph node, Hodgkin lymphoma, CD15 stain
Pagination
First page
« First
Previous page
‹‹
Page
1
Page
2
Page
3
Page
4
Page
5
Page
6
Next page
››
Last page
Last »
Subscribe to White Blood Cells, Lymph Nodes, Spleen, and Thymus