Skip to main content
Quick Links
Temerty Faculty of Medicine
Main navigation
ACORN/ROSI
DLM Library
Quercus
U of T Main
Search
Utility navigation
How to get help
DLML Menu
Home
Search
DLML Menu Secondary
Contributers
Help
Login
Lock Sidebar Open
Disable Hover
Male
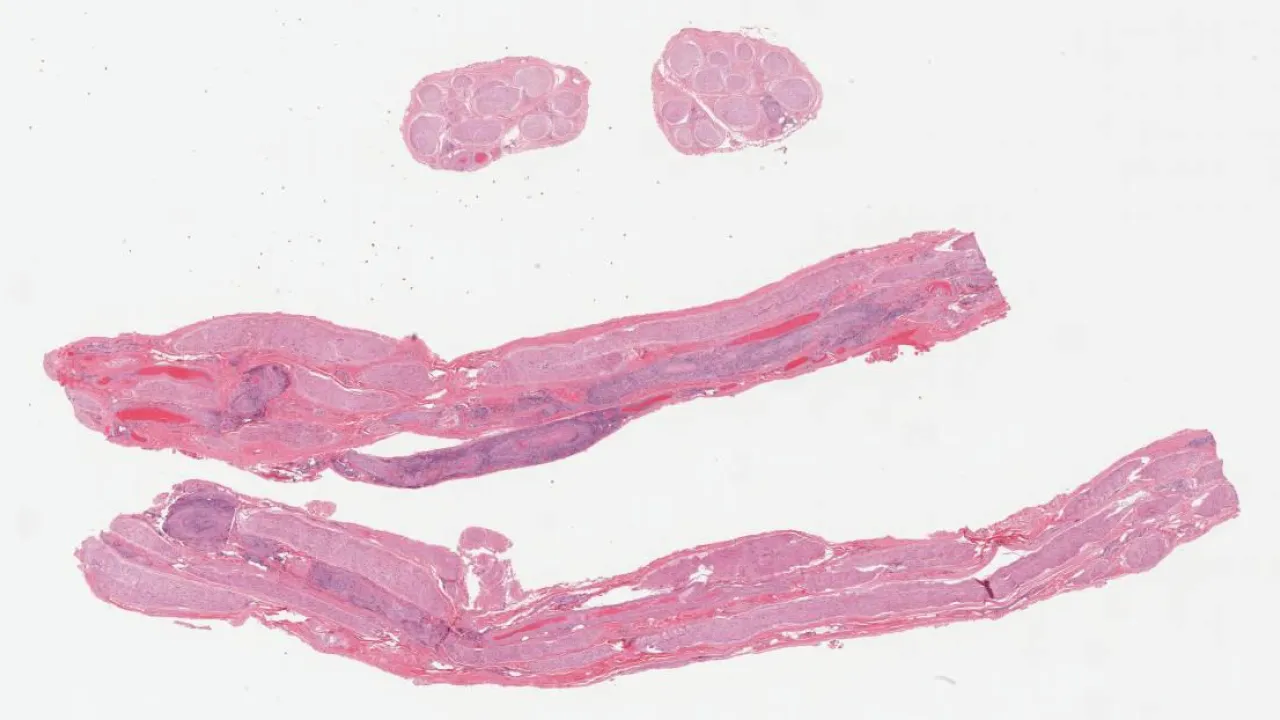
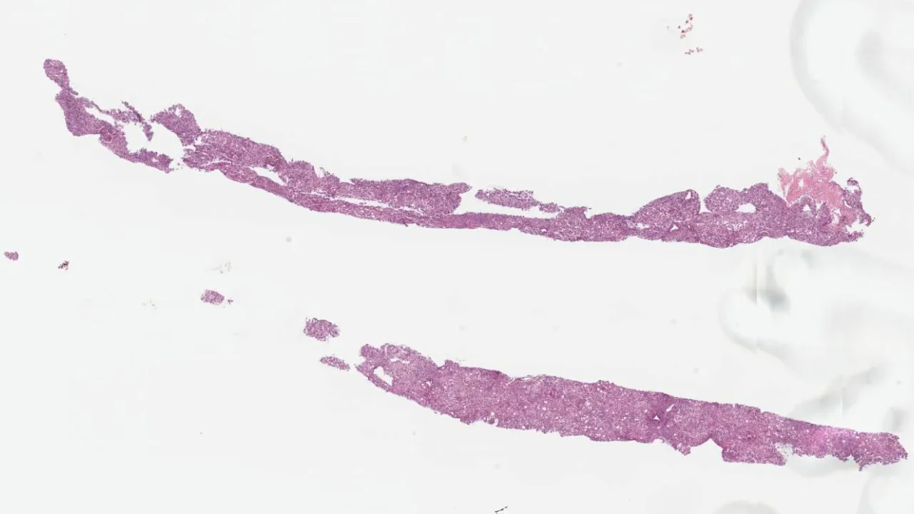
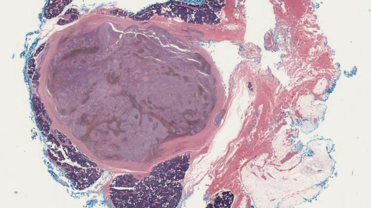
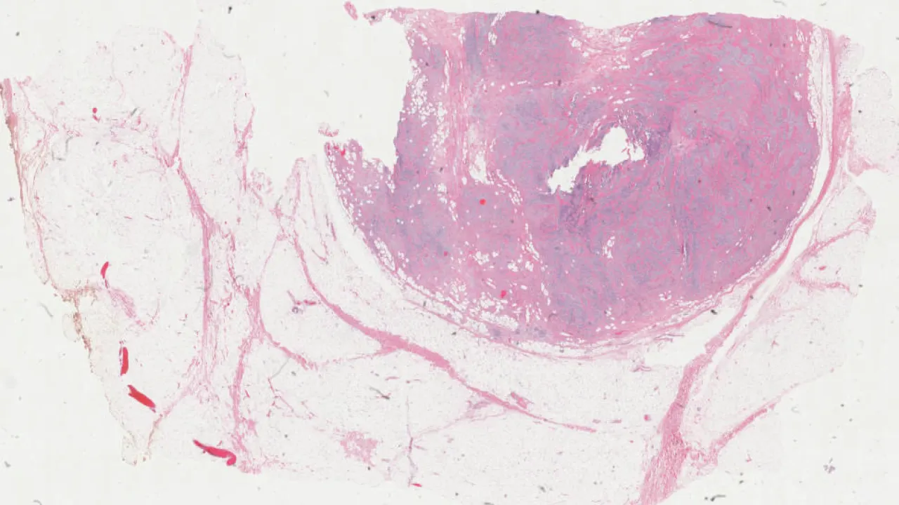
Lymph nodes, Small lymphocytic lymphoma/Chronic lymphocytic leukemia, CD20 stain
Lymph nodes, Small lymphocytic lymphoma/Chronic lymphocytic leukemia, CD23 stain
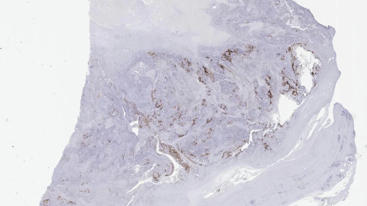
Lymph nodes, Small lymphocytic lymphoma/Chronic lymphocytic leukemia, CD3 stain
Lymph nodes, Small lymphocytic lymphoma/Chronic lymphocytic leukemia, CD5
Lymph nodes, Small lymphocytic lymphoma/Chronic lymphocytic leukemia, Cyclin D1 stain
Lymph nodes, Small lymphocytic lymphoma/Chronic lymphocytic leukemia, H&E stain
Muscle, Dermatomyositis, C5b-9 stain
Muscle, Dermatomyositis, H&E stain
Muscle, Dermatomyositis, MHC stain
Skin, Desmoplastic melanoma, H&E stain
Skin, Desmoplastic melanoma, S100 stain
Skin, Desmoplastic melanoma, SOX10 stain
Small intestine, Systemic Mastocytosis, CD117 stain
Small intestine, Systemic Mastocytosis, CD68 stain
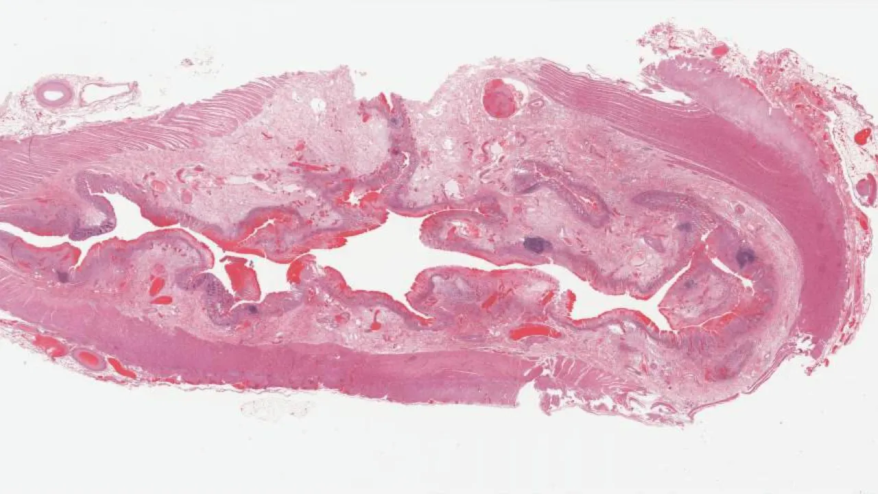
Small intestine, Systemic mastocytosis, H&E stain
Bone, Avascular necrosis
Colon, Ischemic Colitis
Scrotum, Idiopathic scrotal calcinosis
Kidney, Papillary renal cell carcinoma
Lung, Pneumocystis jirovecii
Abdomen, Twin reversed arterial profusion sequence
Cranium, Twin reversed arterial profusion sequence
Foot, Twin reversed arterial profusion sequence
Liver, Alcoholic steatohepatitis
Pleural cavity, Twin reversed arterial profusion sequence
Skeleton and body morphology, Twin reversed arterial profusion sequence
Skeleton and body morphology, Twin reversed arterial profusion sequence
Skeleton, Twin reversed arterial profusion sequence
Skeleton, Twin reversed arterial profusion sequence
Sural nerve, Necrotizing vasculitis
Lower GI Tract, Mucosal injury due to sevelamer
Testis, Mixed germ cell tumour, B-HCG stain
Testis, Mixed germ cell tumour, CD30 stain
Testis, Mixed germ cell tumour, Glypican stain
Testis, Mixed germ cell tumour, H&E stain
Breast, Myofibroblastoma, ER stain
Breast, Myofibroblastoma, CD34 stain
Breast, Myofibroblastoma, desmin stain
Breast, Myofibroblastoma, H&E stain
Parotid gland, Mammary analogue secretory carcinoma
Pagination
First page
« First
Previous page
‹‹
Page
1
Page
2
Page
3
Page
4
Page
5
Page
6
Page
7
Page
8
Page
9
…
Next page
››
Last page
Last »
Subscribe to Male