Skip to main content
Quick Links
Temerty Faculty of Medicine
Main navigation
ACORN/ROSI
DLM Library
Quercus
U of T Main
Search
Utility navigation
How to get help
DLML Menu
Home
Search
DLML Menu Secondary
Contributers
Help
Login
Lock Sidebar Open
Disable Hover
Male
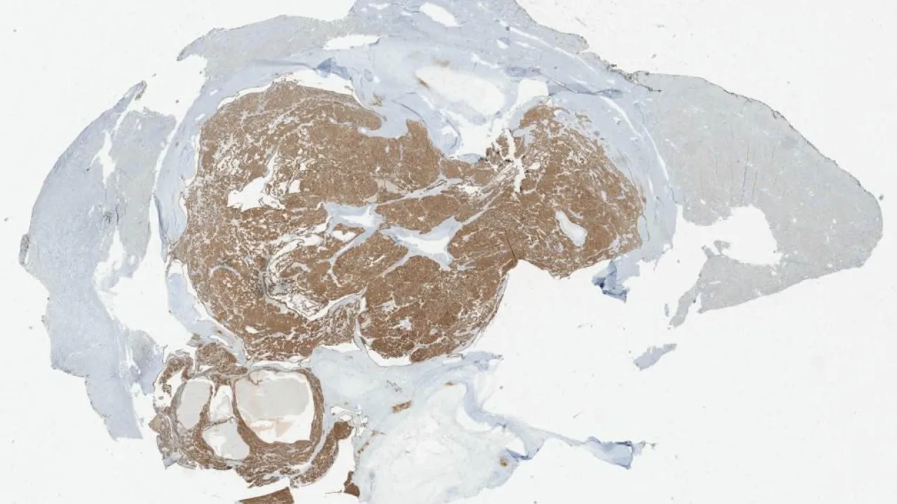
Kidney, Clear cell papillary renal cell carcinoma, CA9 stain
Kidney, Clear cell papillary renal cell carcinoma, H&E stain
Bone Marrow, Splenic marginal zone lymphoma, CD20 stain
Bone Marrow, Splenic marginal zone lymphoma, H&E stain
Peripheral Blood, Splenic marginal zone lymphoma
Bone Marrow, Splenic marginal zone lymphoma
Brain, Metastatic hepatocellular carcinoma
Brain, Glioblastoma, IDH-mutant, associated with Ollier disease
Skin, Trichilemmoma
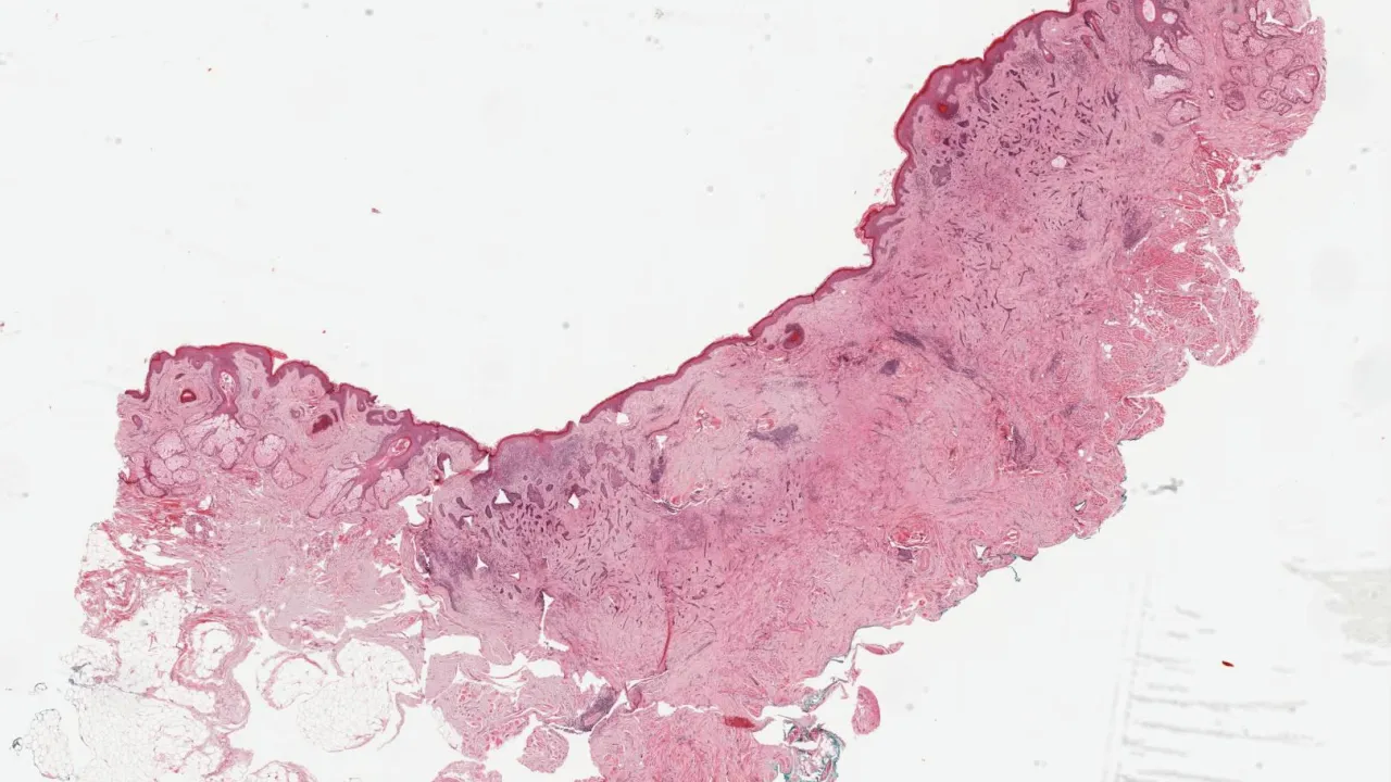
Skin, Irritated seborrheic keratosis
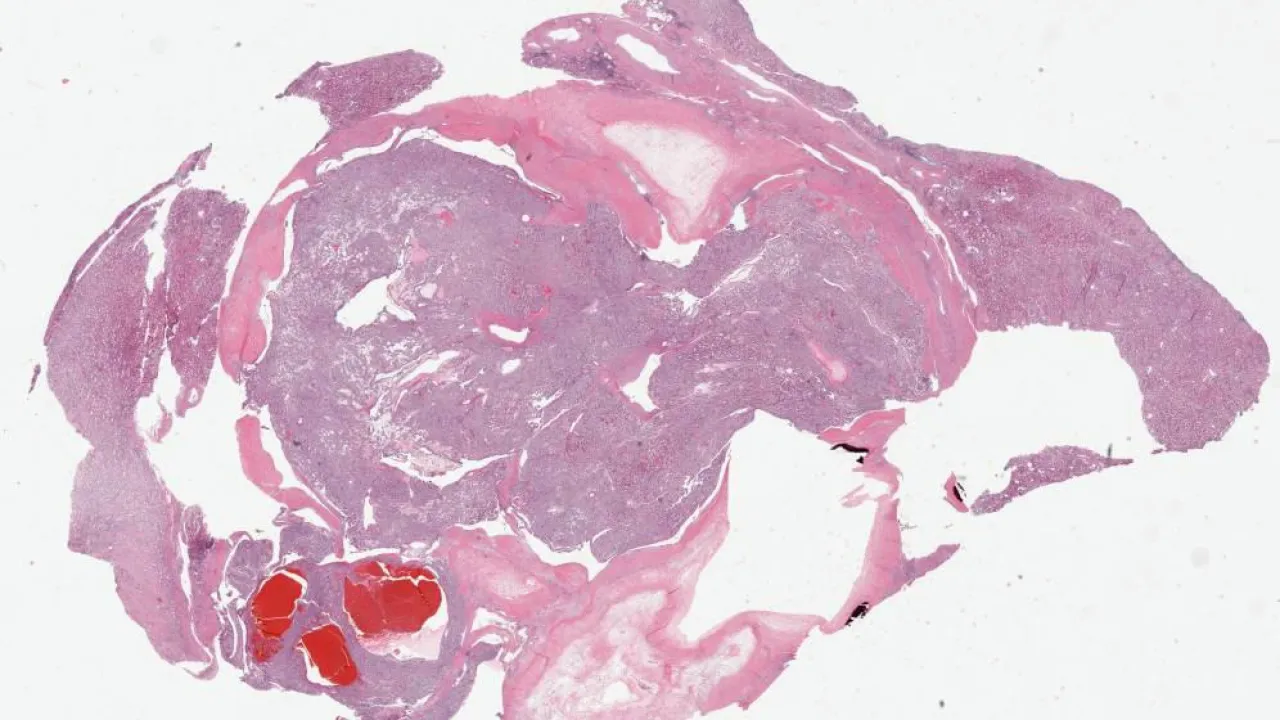
Skin, Sclerotic basal cell carcinoma
Bone Marrow, Acute myeloid leukemia with CBFB-MYH11 (inv(16), t(16;16))
Breast, Granular cell tumour, S100 stain
Breast, Granular cell tumour, CD68 stain
Breast, Granular cell tumour, H&E stain
Breast, Granular cell tumour, H&E stain
Eyelid, Kaposi sarcoma
Oral Cavity, Hyalinizing clear cell carcinoma
Placenta, Mesenchymal dysplasia
Placenta, Storage disorder
Blood Vessels, Total Anomalous Pulmonary Venous Return
Lymph nodes, Kikuchi-Fujimoto Lymphadenitis, CD3 stain
Lymph nodes, Kikuchi-Fujimoto Lymphadenitis, CD68 stain
Lymph nodes, Kikuchi-Fujimoto Lymphadenitis, H&E stain
Soft Tissue, Chondromyxoid fibroma
Eyelid, Endocrine mucin-producing sweat gland carcinoma, synaptophysin stain
Eyelid, Endocrine mucin-producing sweat gland carcinoma, mucicarmine stain
Eyelid, Endocrine mucin-producing sweat gland carcinoma, ER stain
Eyelid, Endocrine mucin-producing sweat gland carcinoma, H&E stain
Kidney, High grade urothelial carcinoma of renal pelvis
Kidney, High grade urothelial carcinoma of renal pelvis
Skin, Cutaneous Blastomycosis, GMS stain
Skin, Cutaneous Blastomycosis, H&E stain
Skeletal Muscle, McArdle disease
Cerebellum, Metastatic malignant mesothelioma
Bone Marrow, Gaucher’s disease
Meninges, Solitary fibrous tumour
Brain, Grumose degeneration of the dentate nucleus
Brain, Alzheimer’s disease with presenilin 1 mutation
Spinal Column, Myelomeningocele
Pagination
First page
« First
Previous page
‹‹
…
Page
3
Page
4
Page
5
Page
6
Page
7
Page
8
Page
9
Page
10
Page
11
Next page
››
Last page
Last »
Subscribe to Male