Skip to main content
Quick Links
Temerty Faculty of Medicine
Main navigation
ACORN/ROSI
DLM Library
Quercus
U of T Main
Search
Utility navigation
How to get help
DLML Menu
Home
Search
DLML Menu Secondary
Contributers
Help
Login
Lock Sidebar Open
Disable Hover
Male
Skin, basal cell carcinoma
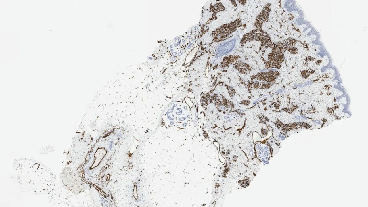
Breast, Paget disease, HER2 stain
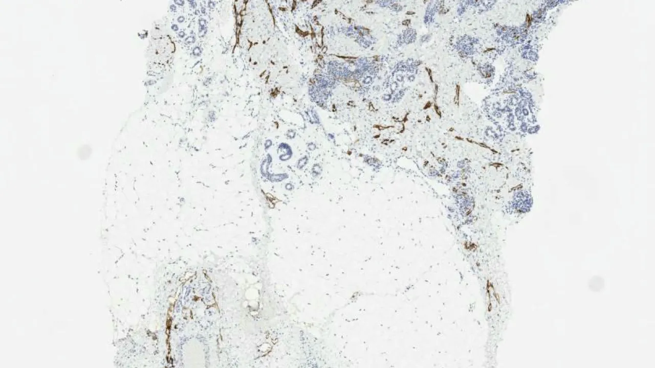
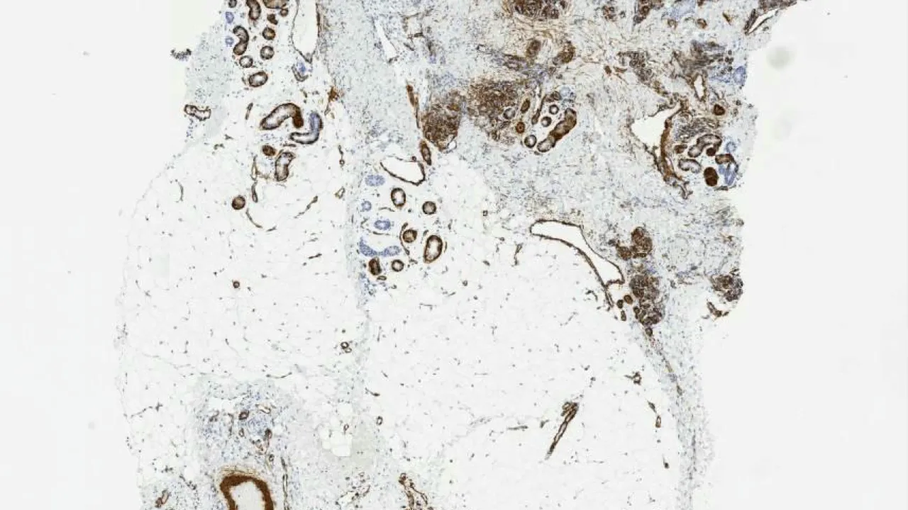
Breast, Paget disease, CK7 stain
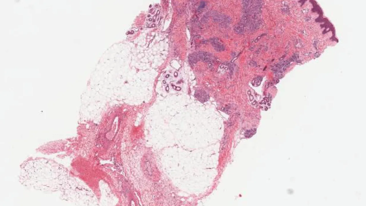
Breast, Paget disease, H&E stain
Soft tissue, lipoblastoma
Testis, large cell calcifying Sertoli cell tumour
Testis, large cell calcifying Sertoli cell tumour
Blood vessels, tufted hemangioma, SMA stain
Blood vessels, tufted hemangioma, D2-40 stain
Blood vessels, tufted hemangioma, CD31 stain
Blood vessels, tufted hemangioma, H&E stain
Testis, Mixed germ cell tumour
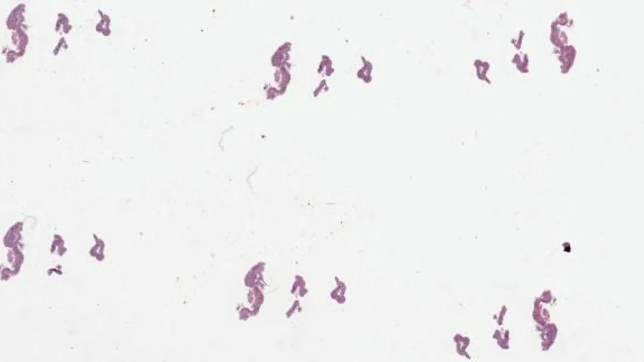
Bladder, High grade papillary urothelial carcinoma
Kidney, Clear cell renal cell carcinoma
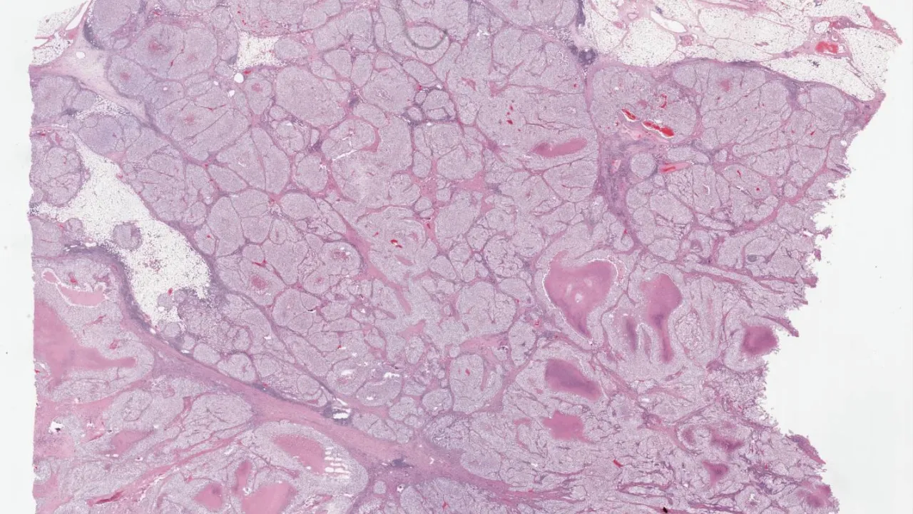
Pancreas, Ductal adenocarcinoma
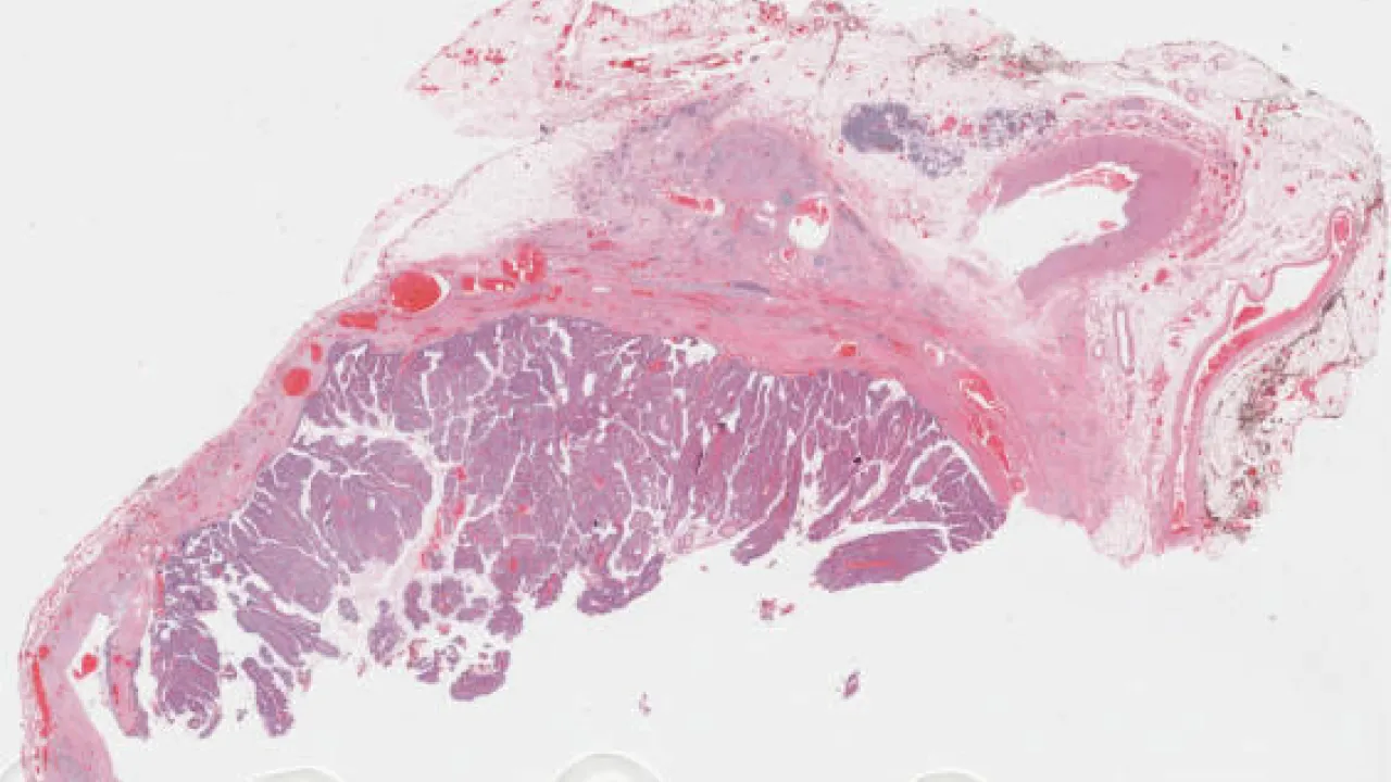
Rectum, Recto-sigmoid adenocarcinoma with large-vessel invasion, H&E stain
Rectum, Recto-sigmoid adenocarcinoma with large-vessel invasion, EVG stain
Colon, collagenous colitis
Soft Tissue, Traumatic neuroma
Soft Tissue, Inclusion body fibromatosis
Soft Tissue, Gardner-type Fibroma
Soft Tissue, Diffuse-type giant cell tumour
Head and Neck, Odontogenic keratocyst
Soft Tissue, Kaposiform hemangioendothelioma
Skin, Congenital Spitz nevus
Oral Cavity, Burkitt lymphoma
Lung, Malignant mesothelioma
Lung, Langerhans cell histiocytosis
Lung, Cryptogenic organizing pneumonia
Stomach, Lipoma
Soft Tissue, Dedifferentiated liposarcoma
Esophagus, Barrett's esophagus
Colon, Amebiasis
Small Intestine, Peutz-Jeghers polyp
Pancreas, Intraductal papillary mucinous neoplasm
Liver, Biliary hamartoma
Skin, Subcutaneous Fat Necrosis
Esophagus, Eosinophilic esophagitis
Lymph Nodes, Mantle cell lymphoma, H&E stain
Lymph Nodes, Mantle cell lymphoma, cyclin D1 stain
Pagination
First page
« First
Previous page
‹‹
…
Page
3
Page
4
Page
5
Page
6
Page
7
Page
8
Page
9
Page
10
Page
11
Next page
››
Last page
Last »
Subscribe to Male