Skip to main content
Quick Links
Temerty Faculty of Medicine
Main navigation
ACORN/ROSI
DLM Library
Quercus
U of T Main
Search
Utility navigation
How to get help
DLML Menu
Home
Search
DLML Menu Secondary
Contributers
Help
Login
Lock Sidebar Open
Disable Hover
I'm looking for
Disease Category
Neoplasia (749)
Normal State (130)
Cellular Responses to Stress and Toxic Insults: Adaptation, Injury, and Death (91)
Infectious Diseases (69)
Diseases of Infancy and Childhood (43)
Acute and Chronic Inflammation (43)
Genetic Disorders (42)
Diseases of the Immune System (34)
Tissue Renewal, Regeneration, and Repair (9)
Hemodynamic Disorders, Thromboembolic Disease and Shock (2)
Environmental and Nutritional Diseases (1)
Gender
- Any -
Female (651)
Male (426)
Unknown (13)
Intersex (8)
Organ System/Discipline
White Blood Cells, Lymph Nodes, Spleen, and Thymus (219)
Skin (154)
Female Genital Tract (151)
Breast (113)
Gastrointestinal Tract (113)
Central Nervous System (97)
Bones, Joints, and Soft-Tissue Tumours (86)
Lower Urinary Tract and Male Genital System (42)
Head and Neck (41)
Liver and Biliary Tract (39)
Kidney (36)
Lung (28)
Peripheral Nerve and Skeletal Muscle (21)
Blood Vessels (18)
Pancreas (18)
Endocrine System (17)
Heart (14)
Red Blood Cells and Bleeding Disorders (5)
Eye (4)
Search
Disease Category
Neoplasia (749)
Normal State (130)
Cellular Responses to Stress and Toxic Insults: Adaptation, Injury, and Death (91)
Infectious Diseases (69)
Diseases of Infancy and Childhood (43)
Acute and Chronic Inflammation (43)
Genetic Disorders (42)
Diseases of the Immune System (34)
Tissue Renewal, Regeneration, and Repair (9)
Hemodynamic Disorders, Thromboembolic Disease and Shock (2)
Environmental and Nutritional Diseases (1)
Gender
- Any -
Female (651)
Male (426)
Unknown (13)
Intersex (8)
Organ System/Discipline
White Blood Cells, Lymph Nodes, Spleen, and Thymus (219)
Skin (154)
Female Genital Tract (151)
Breast (113)
Gastrointestinal Tract (113)
Central Nervous System (97)
Bones, Joints, and Soft-Tissue Tumours (86)
Lower Urinary Tract and Male Genital System (42)
Head and Neck (41)
Liver and Biliary Tract (39)
Kidney (36)
Lung (28)
Peripheral Nerve and Skeletal Muscle (21)
Blood Vessels (18)
Pancreas (18)
Endocrine System (17)
Heart (14)
Red Blood Cells and Bleeding Disorders (5)
Eye (4)
Search
Legend
= Add to favorites
= Added to favorites
= Multiple Slides
List View
Brain, Neurocysticercosis
Brain, giant-cell glioblastoma
Brain, ependymoma
Brain, ganglioglioma
Soft Tissue, Nodular fasciitis
Soft Tissue, Fibromatosis
Lymph nodes, benign intracapsular nevic cells
Ovotestis, Simpson-Golabi-Behmel Syndrome, specimen photograph
Ovotestis, Simpson-Golabi-Behmel Syndrome, H&E stain
Ovotestis, Simpson-Golabi-Behmel Syndrome, androgen receptor
Ovotestis, Simpson-Golabi-Behmel Syndrome, inhibin stain
Ovotestis, Simpson-Golabi-Behmel Syndrome, calretinin stain
Ovotestis, Simpson-Golabi-Behmel Syndrome, PLAP stain
Kidney, Simpson-Golabi-Behmel Syndrome
Kidney, Simpson-Golabi-Behmel Syndrome
Placenta, Fetal thrombotic vasculopathy
Breast, cribriform carcinoma
Lymph node, follicular lymphoma
Breast, fascicular pseudoangiomatous stromal hyperplasia
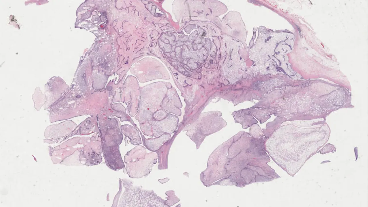
Breast, complex sclerosing lesion
Breast, complex sclerosing lesion
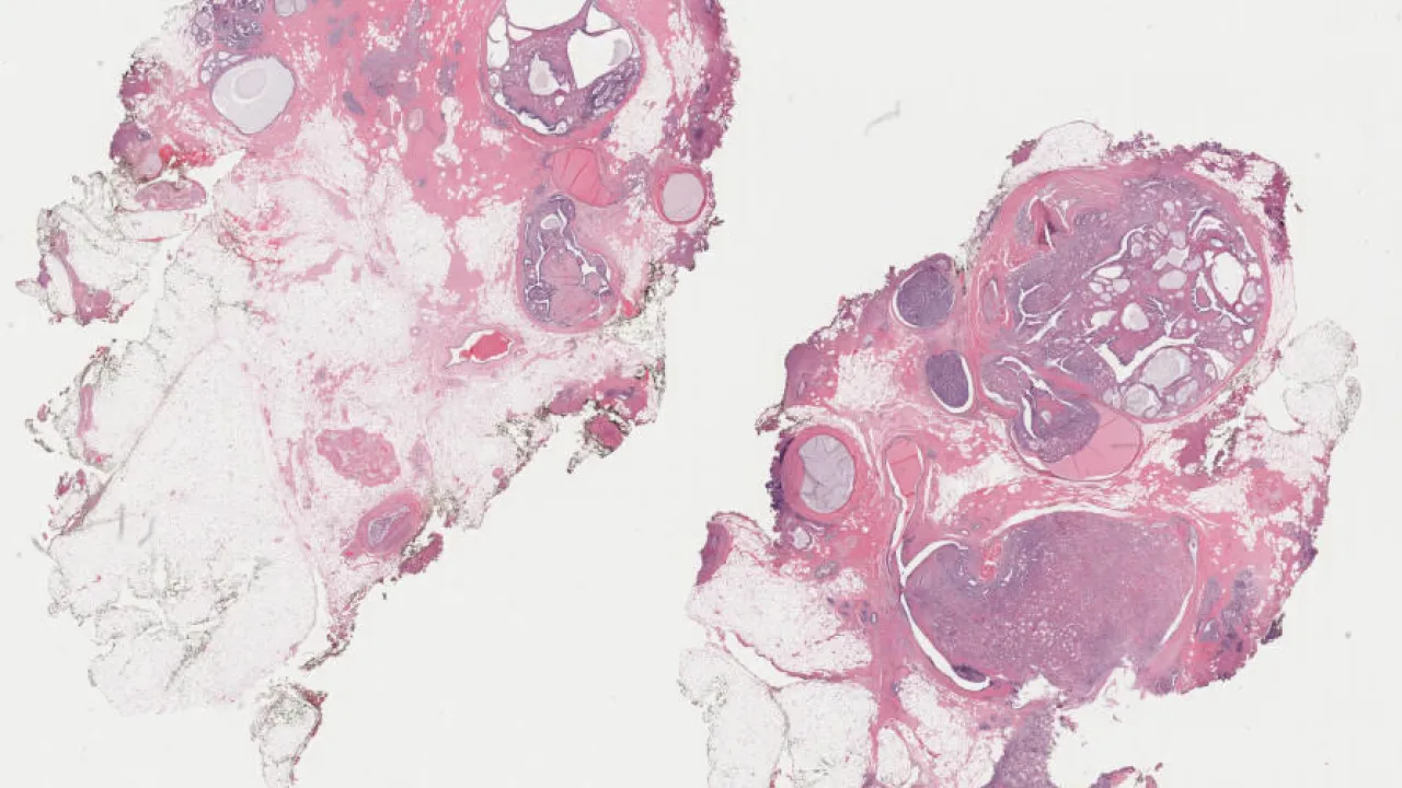
Breast, sclerosing papilloma
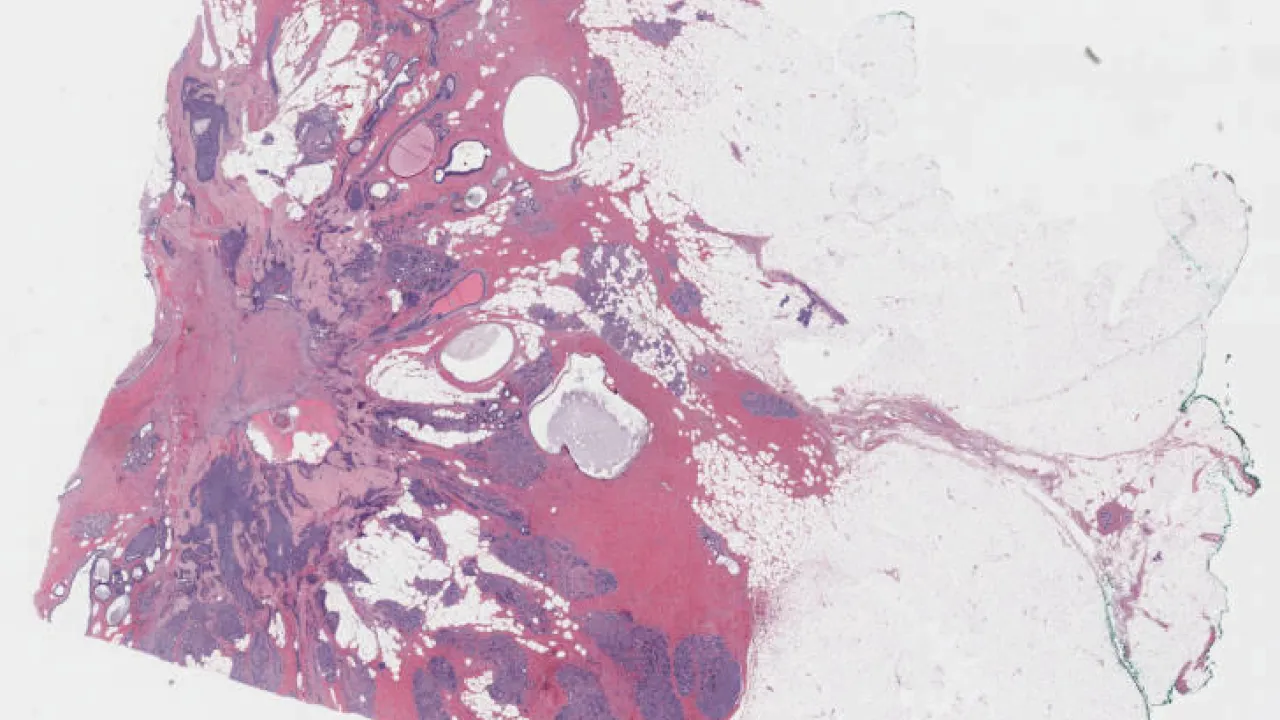
Breast, fibromatosis-like metaplastic carcinoma, H&E stain
Breast, malignant phyllodes tumour
Lymph Node, Hodgkin lymphoma, H&E stain
Lymph node, Hodgkin lymphoma, CD15 stain
Lymph node, Hodgkin lymphoma, CD30 stain
Lymph node, Hodgkin lymphoma, PAX5 stain
Lymph node, Hodgkin lymphoma, MUM1 stain
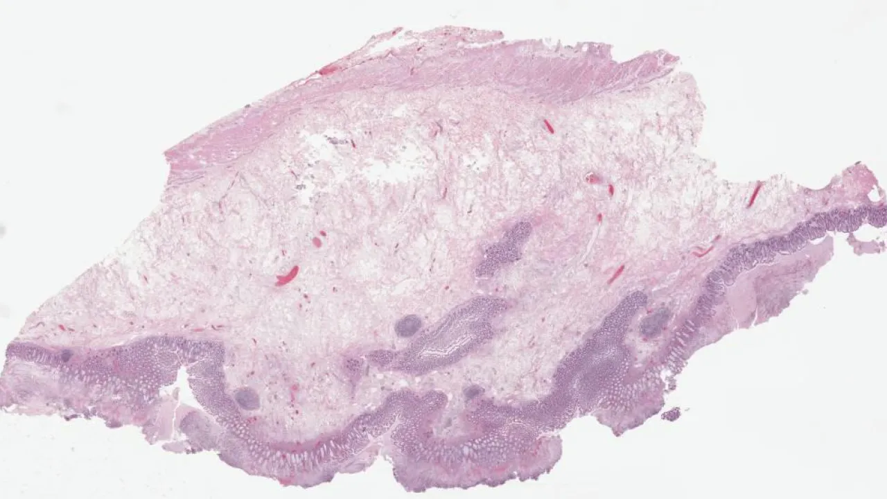
Colon, Clostridium difficile associated pseudomembranous colitis
Pagination
First page
|‹
Previous page
‹
…
Page
30
Page
31
Page
32
Page
33
Page
34
Page
35
Page
36
Page
37
Page
38
…
Next page
›
Last page
›|