Skip to main content
Quick Links
Temerty Faculty of Medicine
Main navigation
ACORN/ROSI
DLM Library
Quercus
U of T Main
Search
Utility navigation
How to get help
DLML Menu
Home
Search
DLML Menu Secondary
Contributers
Help
Login
Lock Sidebar Open
Disable Hover
Cellular Responses to Stress and Toxic Insults: Adaptation, Injury, and Death
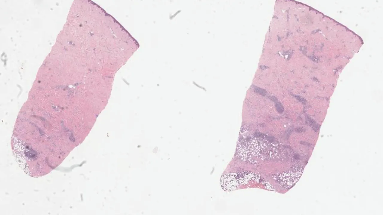
Intestine, Olmesartan associated enteropathy, H&E Stain
Intestine, Olmesartan associated enteropathy, H&E Stain
Intestine, Olmesartan associated enteropathy, H&E Stain
Breast, Silicone granuloma
Colon, Inflammatory/hamartomatous polyps
Esophagus, Eosinophilic esophagitis
Esophagus, Lymphocytic esophagitis
Stomach, Fundic gland polyp
Lung, Pneumoconiosis
Nasal Cavity, Lobular capillary hemangioma
Breast, Radial sclerosing lesion
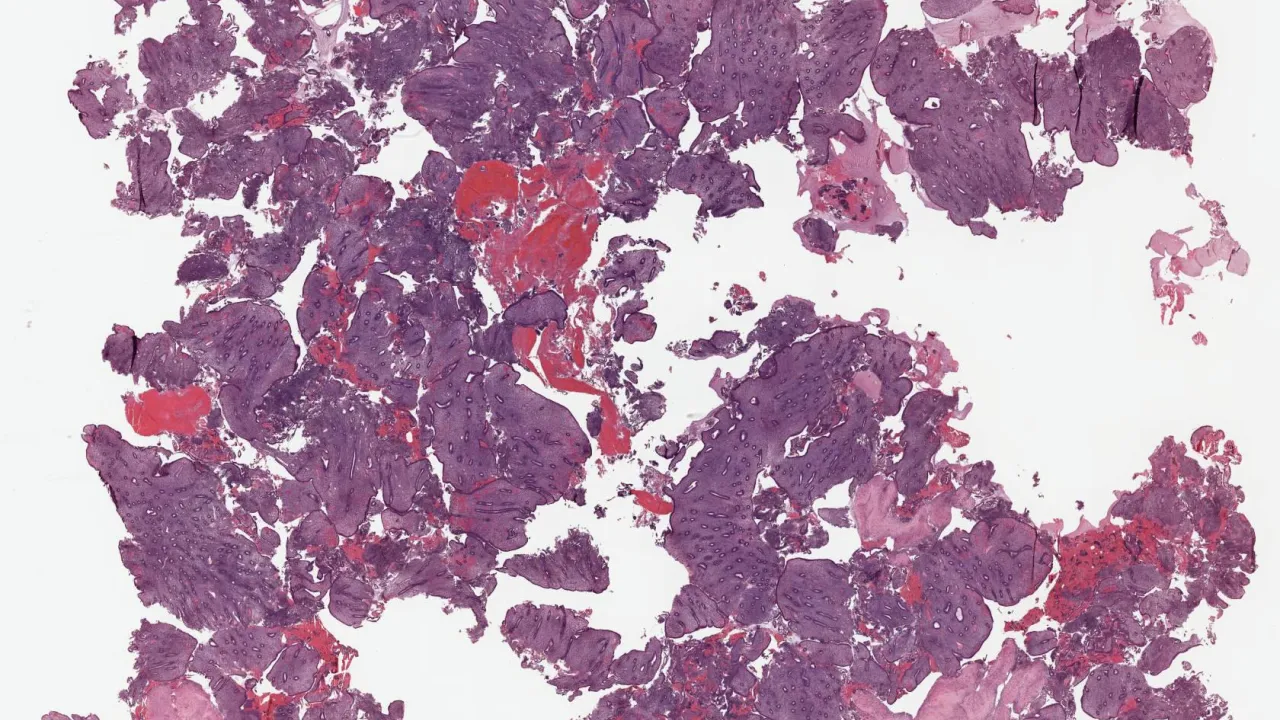
Lymph Node, Silicone lymphadenopathy
Skin, Polymorphic light eruption
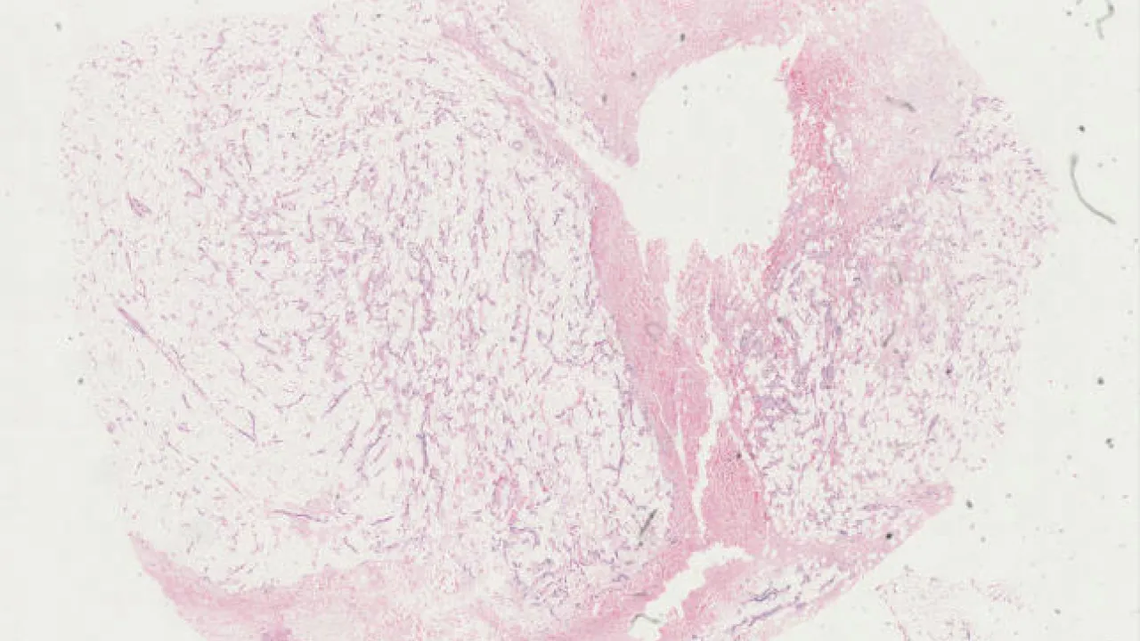
Heart, Myocardial infarction with rupture
Breast, Radial scar with florid epithelial hyperplasia
Lymph Node, Follicular hyperplasia, BCL-2 stain
Lymph Node, Follicular hyperplasia, CD20 stain
Lymph Node, Follicular hyperplasia, CD21 stain
Lymph Node, Follicular hyperplasia, CD3 Stain
Lymph Node, Follicular hyperplasia, H&E stain
Lymph Node, Follicular hyperplasia, MIB1 stain
Liver, Graft-versus-host disease, H&E stain
Liver, Graft-versus-host disease, Trichrome stain
Liver, Portal vein thrombosis, H&E stain
Liver, Portal vein thrombosis, trichrome stain
Liver, Primary biliary cirrhosis, H&E stain
Liver, Primary biliary cirrhosis, Trichrome stain
Liver, Venous outflow obstruction, H&E stain
Liver, Venous outflow obstruction, trichrome stain
Breast, Massive localized lymphedema
Skin, Trichilemmal cyst
Skin, Pilonidal sinus
Skin, Morphea
Skin, Calciphylaxis
Colon, Ischemic Colitis
Scrotum, Idiopathic scrotal calcinosis
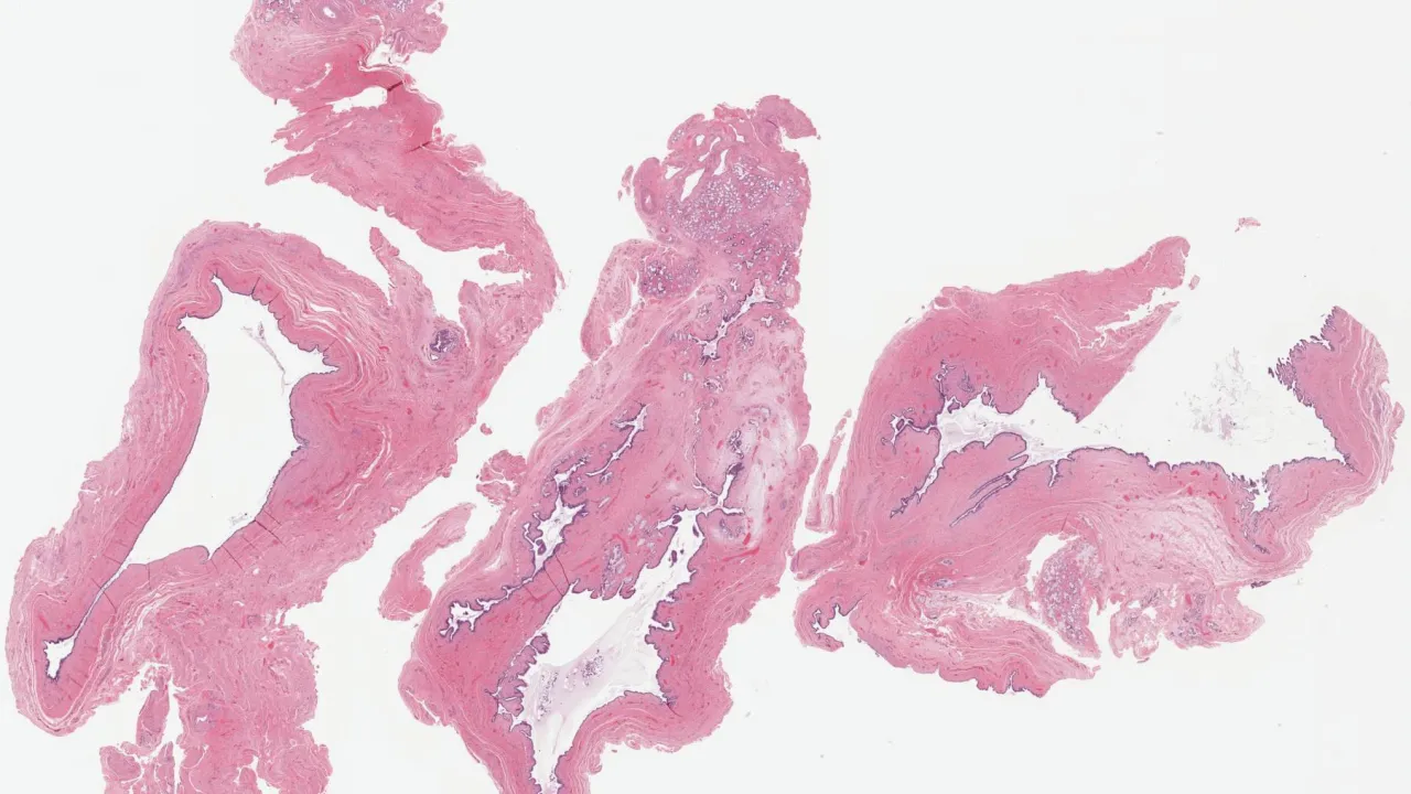
Vulva, Bartholin duct cyst
Endometrium, Placental site nodule
Liver, Alcoholic steatohepatitis
Muscle, Denervation atrophy secondary to polyneuropathy, H&E stain
Pagination
Page
1
Page
2
Page
3
Next page
››
Last page
Last »
Subscribe to Cellular Responses to Stress and Toxic Insults: Adaptation, Injury, and Death