Skip to main content
Quick Links
Temerty Faculty of Medicine
Main navigation
ACORN/ROSI
DLM Library
Quercus
U of T Main
Search
Utility navigation
How to get help
DLML Menu
Home
Search
DLML Menu Secondary
Contributers
Help
Login
Lock Sidebar Open
Disable Hover
I'm looking for
Disease Category
Neoplasia (749)
Normal State (130)
Cellular Responses to Stress and Toxic Insults: Adaptation, Injury, and Death (91)
Infectious Diseases (69)
Diseases of Infancy and Childhood (43)
Acute and Chronic Inflammation (43)
Genetic Disorders (42)
Diseases of the Immune System (34)
Tissue Renewal, Regeneration, and Repair (9)
Hemodynamic Disorders, Thromboembolic Disease and Shock (2)
Environmental and Nutritional Diseases (1)
Gender
- Any -
Female (651)
Male (426)
Unknown (13)
Intersex (8)
Organ System/Discipline
White Blood Cells, Lymph Nodes, Spleen, and Thymus (219)
Skin (154)
Female Genital Tract (151)
Breast (113)
Gastrointestinal Tract (113)
Central Nervous System (97)
Bones, Joints, and Soft-Tissue Tumours (86)
Lower Urinary Tract and Male Genital System (42)
Head and Neck (41)
Liver and Biliary Tract (39)
Kidney (36)
Lung (28)
Peripheral Nerve and Skeletal Muscle (21)
Blood Vessels (18)
Pancreas (18)
Endocrine System (17)
Heart (14)
Red Blood Cells and Bleeding Disorders (5)
Eye (4)
Search
Disease Category
Neoplasia (749)
Normal State (130)
Cellular Responses to Stress and Toxic Insults: Adaptation, Injury, and Death (91)
Infectious Diseases (69)
Diseases of Infancy and Childhood (43)
Acute and Chronic Inflammation (43)
Genetic Disorders (42)
Diseases of the Immune System (34)
Tissue Renewal, Regeneration, and Repair (9)
Hemodynamic Disorders, Thromboembolic Disease and Shock (2)
Environmental and Nutritional Diseases (1)
Gender
- Any -
Female (651)
Male (426)
Unknown (13)
Intersex (8)
Organ System/Discipline
White Blood Cells, Lymph Nodes, Spleen, and Thymus (219)
Skin (154)
Female Genital Tract (151)
Breast (113)
Gastrointestinal Tract (113)
Central Nervous System (97)
Bones, Joints, and Soft-Tissue Tumours (86)
Lower Urinary Tract and Male Genital System (42)
Head and Neck (41)
Liver and Biliary Tract (39)
Kidney (36)
Lung (28)
Peripheral Nerve and Skeletal Muscle (21)
Blood Vessels (18)
Pancreas (18)
Endocrine System (17)
Heart (14)
Red Blood Cells and Bleeding Disorders (5)
Eye (4)
Search
Legend
= Add to favorites
= Added to favorites
= Multiple Slides
Grid View
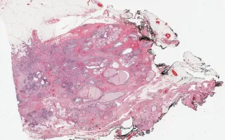
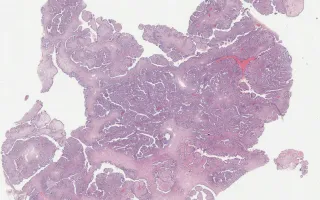
Breast, Well differentiated invasive ductal carcinoma NOS with DCI
Neck, Mixed-phenotype acute leukemia, H&E Stain
Neck, Classical Hodgkin Lymphoma, Nodular Sclerosis Subtype, H&E Stain
Lymph, Follicular lymphoma, grade 1, BCL-2
Lymph, Follicular lymphoma, grade 1, BCL-6
Lymph, follicular lymphoma, grade 1, H&E Stain
Neck, Mixed-phenotype acute leukemia, MPO
Neck, Classical Hodgkin Lymphoma, Nodular Sclerosis Subtype, CD30
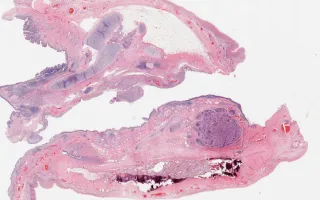
Breast, Malignant phyllodes tumour, H&E stain
Breast, Malignant phyllodes tumour, H&E stain
Vagina, Biphasic synovial sarcoma, H&E stain
Breast, Malignant phyllodes tumour
Ovary, Metastatic appendiceal adenocarcinoma ex goblet cell carcinoid
Breast, Malignant phyllodes tumour
Ovary, Mature cystic teratoma, with well differentiated neuroendocrine tumour ("carcinoid").
Breast, Malignant phyllodes tumour, H&E stain
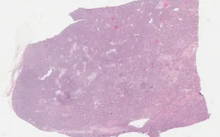
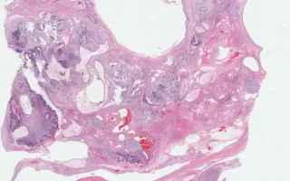
Breast, Silicone granuloma
Breast, Malignant phyllodes tumour, H&E stain
Breast, Lymphocytic mastopathy, H&E stain
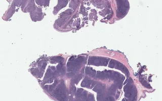
Small bowel, Gastrointestinal stromal tumour
Small bowel, Gastrointestinal stromal tumour
Soft Tissue, Schwannoma
Small Bowel, Leiomyosarcoma
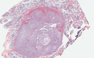
Spleen, Diffuse large B cell Lymphoma
Spleen, Diffuse large B cell Lymphoma
Bone Marrow, Essential thrombocythemia
Tonsils, Squamous cell carcinoma
Parotid Gland, Secretory carcinoma
Ovary, Immature Teratoma
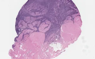
Colon, Low grade carcinoma
Pagination
First page
|‹
Previous page
‹
Page
1
Page
2
Page
3
Page
4
Page
5
Page
6
Page
7
Page
8
Page
9
…
Next page
›
Last page
›|