Skip to main content
Quick Links
Temerty Faculty of Medicine
Main navigation
ACORN/ROSI
DLM Library
Quercus
U of T Main
Search
Utility navigation
How to get help
DLML Menu
Home
Search
DLML Menu Secondary
Contributers
Help
Login
Lock Sidebar Open
Disable Hover
Male
Lymph Nodes, Mantle cell lymphoma, CD5 stain
Lymph Nodes, Mantle cell lymphoma, CD23 stain
Lymph Nodes, Follicular lymphoma, BCL6 stain
Lymph Nodes, Follicular lymphoma, BCL2 stain
Lymph Nodes, Follicular lymphoma, CD10 stain
Lymph Nodes, Follicular lymphoma, CD20 stain
Lymph Nodes, Follicular lymphoma, H&E stain
Lung, Nonspecific interstitial pneumonia, cellular pattern
Soft Tissue, Extramedullary hematopoiesis
Muscle, Critical illness myopathy
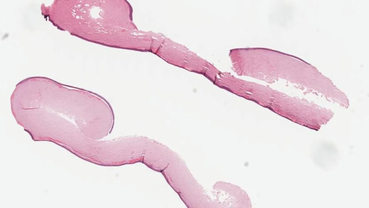
Peripheral nerve, Amyloidosis
Eye, Granular corneal dystrophy
Pituitary Gland, Spindle cell oncocytoma
Skin, palisaded encapsulated neuroma
Soft tissue, embryonal rhabdomyosarcoma, H&E stain
Soft tissue, embryonal rhabdomyosarcoma, SMA stain
Soft tissue, embryonal rhabdomyosarcoma, desmin stain
Soft tissue, embryonal rhabdomyosarcoma, myogenin stain
Brain, Adamantinomatous craniopharyngioma
Brain, tuberous sclerosis
Brain, Lissencephaly Type 2
Bone, chordoma
Colon, traditional serrated adenoma
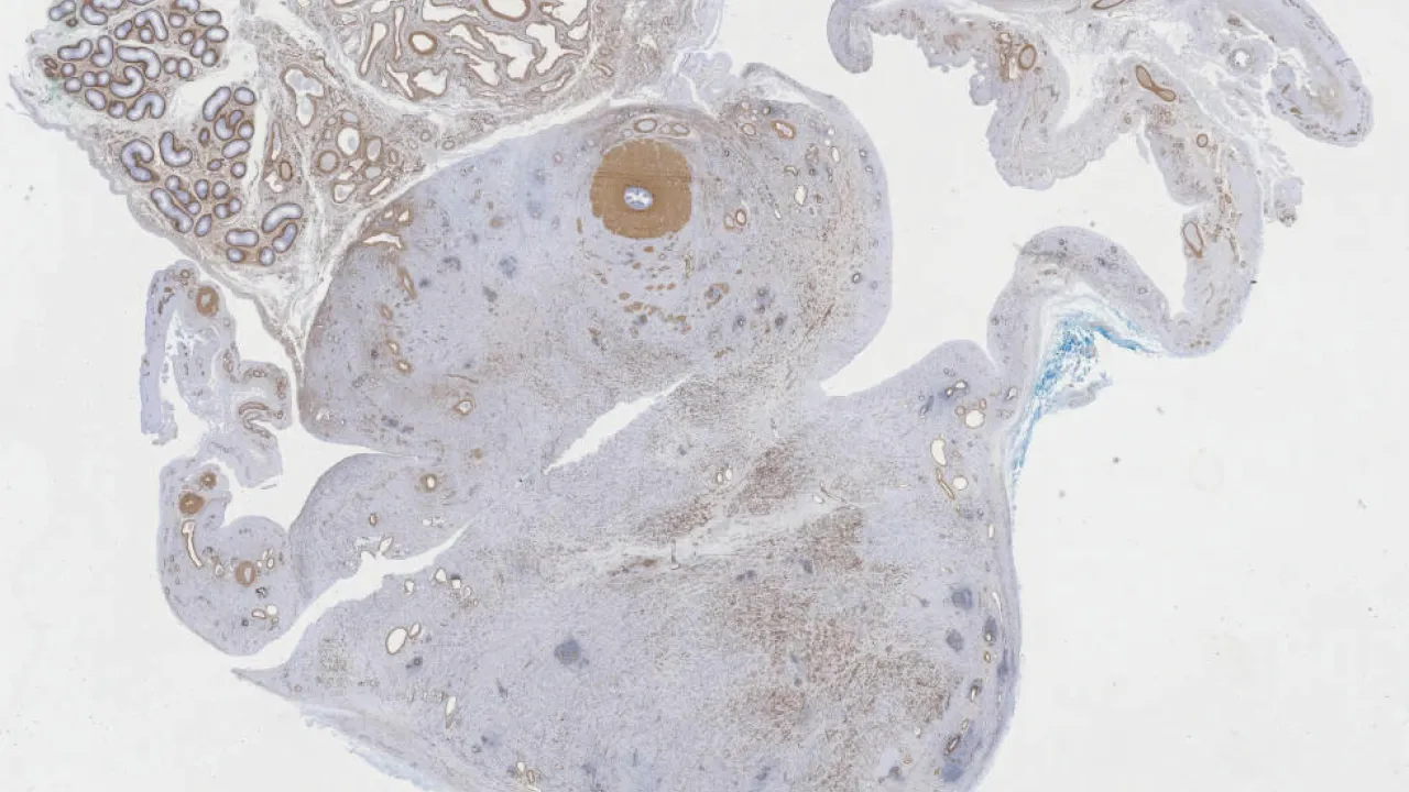
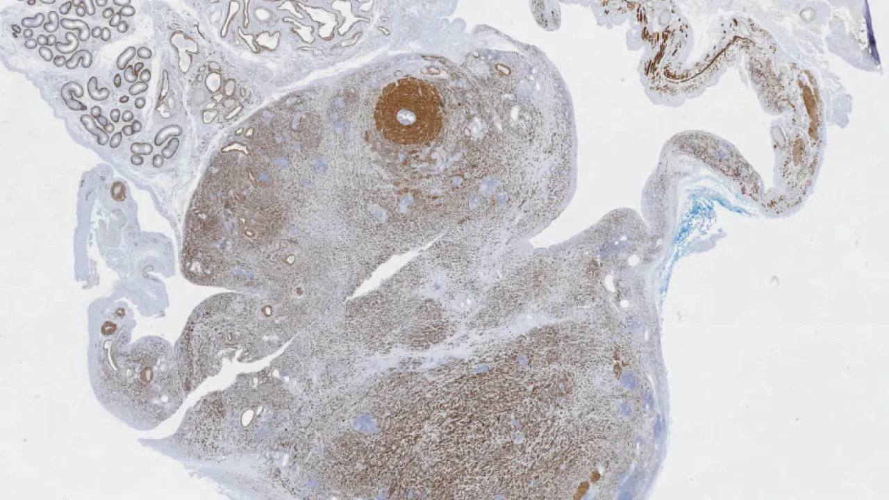
Testis (undescended), Yolk-sac tumour, AFP stain
Testis (undescended), Yolk-sac tumour, H&E stain
Skin, fungal dermatitis, GMS stain
Skin, fungal dermatitis, H&E stain
Skin, granuloma annulare, Alcian blue stain
Skin, granuloma annulare, H&E stain
Brain, Gliosarcoma
Brain and spinal cord, Churg-Strauss syndrome
Meninges, IgG4-related pachymeningitis
Brain, IgG4-related hypophysitis
Brain, Pineocytoma
Brain, Chordoid meningioma
Brain, Sarcoidosis
Brain, Clear cell meningioma
Peripheral nerve, Churg-Strauss
Skin, Mycosis fungoides, H&E stain
Skin, Mycosis fungoides, CD3 stain
Pagination
First page
« First
Previous page
‹‹
…
Page
3
Page
4
Page
5
Page
6
Page
7
Page
8
Page
9
Page
10
Page
11
Next page
››
Last page
Last »
Subscribe to Male